The PLC beta 3 (PLCB3) Antibody (CAB10236) is a high-quality antibody developed for reliable detection and analysis of target proteins. This antibody, produced in rabbits, exhibits high reactivity with human samples and has been validated for use in Western blot applications. By specifically targeting the PLCB3 protein, this antibody enables accurate detection and analysis in a wide range of cell types, making it an ideal choice for research in molecular biology and signal transduction.PLCB3 plays a crucial role in various cellular processes, including cell growth, differentiation, and survival, making it a significant target for studies in cancer research and drug discovery.
This antibody is validated for use in WB, IHC-P, ELISA applications and has demonstrated reactivity against Human, Mouse, Rat samples.
Product Name:
PLC beta 3 (PLCB3) Antibody
SKU:
CAB10236
Size:
20μL, 100μL
Reactivity:
Human, Mouse, Rat
Conjugate:
Unconjugated
Immunogen:
Recombinant protein (or fragment).This information is considered to be commercially sensitive.
Recommended starting concentration is 1 μg/mL. Please optimize the concentration based on your specific assay requirements.
Synonyms:
SMDCD, PLC beta 3 (PLCB3)
Positive Sample:
OVCAR8, Mouse lung, Rat lung
Cellular Localization:
Membrane, Peripheral Membrane Protein.
Calculated MW:
139kDa
Observed MW:
160kDa
This gene encodes a member of the phosphoinositide phospholipase C beta enzyme family that catalyze the production of the secondary messengers diacylglycerol and inositol 1,4,5-triphosphate from phosphatidylinositol in G-protein-linked receptor-mediated signal transduction. Alternative splicing results in multiple transcript variants.
Purification Method
Affinity purification
Gene ID
5331
RRID
AB_2757761
Buffer Information
Store at -20℃. Avoid freeze / thaw cycles. Buffer: PBS with 0.01% thimerosal,50% glycerol,pH7.3.
Western blot analysis of various lysates using PLC beta 3 (PLCB3) Rabbit pAb (CAB10236) at 1:1000 dilution. Secondary antibody: HRP-conjugated Goat anti-Rabbit IgG (H+L) (CABS014) at 1:10000 dilution. Lysates/proteins: 25μg per lane. Blocking buffer: 3% nonfat dry milk in TBST. Detection: ECL Basic Kit (AbGn00020). Exposure time: 30s.
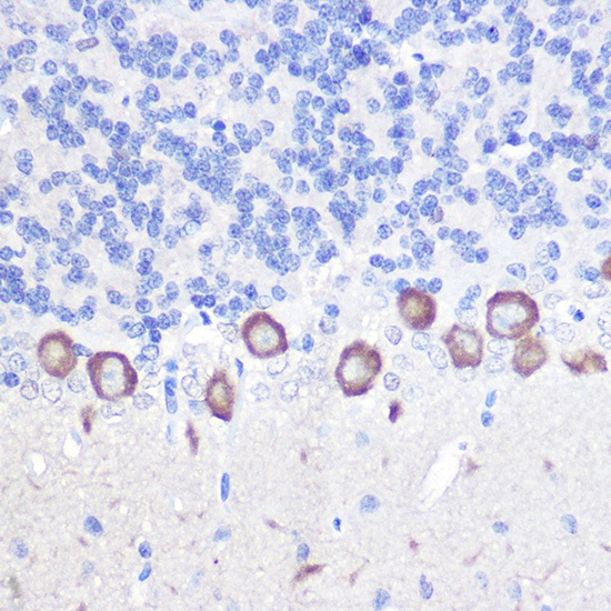
Immunohistochemistry analysis of paraffin-embedded Rat brain using PLC beta 3 (PLC beta 3 (PLCB3)) Rabbit pAb (CAB10236) at dilution of 1:100 (40x lens). High pressure antigen retrieval performed with 0.01M Citrate buffer (pH 6.0) prior to IHC staining.