The PLC gamma 1 (PLCG1) Monoclonal Antibody (CAB8899) is a high-quality antibody developed for reliable detection and analysis of target proteins. This high-quality antibody, generated in rabbits, is highly specific and sensitive for detecting PLCG1 in human samples, making it an excellent choice for immunohistochemistry and Western blot applications.PLCG1 is a key enzyme that catalyzes the hydrolysis of phosphatidylinositol 4,5-bisphosphate (PIP2) to produce inositol 1,4,5-trisphosphate (IP3) and diacylglycerol (DAG), leading to the activation of downstream signaling cascades.
This antibody is validated for use in WB, ELISA applications and has demonstrated reactivity against Human, Mouse, Rat samples.
Product Name:
PLC gamma 1 (PLCG1) Monoclonal Antibody
SKU:
CAB8899
Size:
20μL, 100μL
Reactivity:
Human, Mouse, Rat
Clone Number:
ARC1345
Conjugate:
Unconjugated
Immunogen:
Recombinant protein (or fragment).This information is considered to be commercially sensitive.
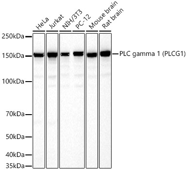
HeLa, Jurkat, NIH/3T3, PC-12, Mouse brain, Rat brain
Cellular Localization:
Cell Projection, Lamellipodium, Ruffle.
Calculated MW:
149kDa
Observed MW:
149kDa
The protein encoded by this gene catalyzes the formation of inositol 1,4,5-trisphosphate and diacylglycerol from phosphatidylinositol 4,5-bisphosphate. This reaction uses calcium as a cofactor and plays an important role in the intracellular transduction of receptor-mediated tyrosine kinase activators. For example, when activated by SRC, the encoded protein causes the Ras guanine nucleotide exchange factor RasGRP1 to translocate to the Golgi, where it activates Ras. Also, this protein has been shown to be a major substrate for heparin-binding growth factor 1 (acidic fibroblast growth factor)-activated tyrosine kinase. Two transcript variants encoding different isoforms have been found for this gene.
Purification Method
Affinity purification
Gene ID
5335
RRID
AB_2863625
Buffer Information
Store at -20℃. Avoid freeze / thaw cycles. Buffer: PBS containing 50% glycerol and 0.05% BSA, preserved with proclin300 or sodium azide, pH 7.3.
Western blot analysis of various lysates using PLC gamma 1 (PLCG1) Rabbit mAb (CAB8899) at 1:2000 dilution incubated overnight at 4℃. Secondary antibody: HRP-conjugated Goat anti-Rabbit IgG (H+L) (CABS014) at 1:10000 dilution. Lysates/proteins: 25 μg per lane. Blocking buffer: 3% nonfat dry milk in TBST. Detection: ECL Basic Kit (AbGn00020). Exposure time: 45 s.