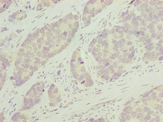
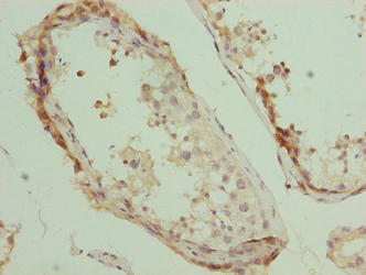
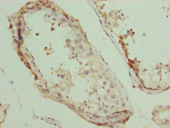
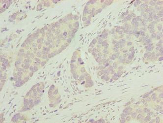
PLEKHJ1 Antibody is a premium polyclonal that offers outstanding performance and reliability for demanding research applications. Rigorously validated for ELISA, IHC, this antibody ensures consistent, reproducible results across multiple experimental platforms. Demonstrates excellent reactivity with Human samples, providing researchers with confidence in cross-species compatibility. Conveniently packaged in 50ug format to meet your experimental needs. For optimal performance, store at -20°C or -80°C and maintains stability for 12 months. Backed by rigorous quality control testing to ensure superior performance in your critical research applications.
Product Name:
PLEKHJ1 Antibody
SKU:
PACO40886
Size:
50μg
Isotype:
IgG
Host Species:
Rabbit
Reactivity:
Human
Immunogen:
Recombinant Human Pleckstrin homology domain-containing family J member 1 protein (1-149AA)
Immunogen Species:
Homo sapiens (Human)
Uniprot No:
Q9NW61
Form:
Liquid
Tested Applications:
ELISAIHC
Recommended Dilution:
Application
Recommended Dilution
IHC
1:20-1:200
Synonyms:
9530063M10Rik antibody, FLJ10297 antibody, Guanine nucleotide releasing protein x antibody, Guanine nucleotide-releasing protein x antibody, Likely ortholog of mouse guanine nucleotide releasing protein x antibody, PH domain containing family J member 1 antibody, PH domain-containing family J member 1 antibody, PKHJ1_HUMAN antibody, Pleckstrin homology domain containing family J member 1 antibody, Pleckstrin homology domain-containing family J member 1 antibody, PLEKHJ 1 antibody, PLEKHJ1 antibody