PNLIPRP3 Antibody is a premium polyclonal that offers outstanding performance and reliability for demanding research applications. Rigorously validated for ELISA, WB, IHC, this antibody ensures consistent, reproducible results across multiple experimental platforms. Demonstrates excellent reactivity with Human, Mouse samples, providing researchers with confidence in cross-species compatibility. Conveniently packaged in 50ug format to meet your experimental needs. For optimal performance, store at -20°C or -80°C and maintains stability for 12 months. Backed by rigorous quality control testing to ensure superior performance in your critical research applications.
Product Name:
PNLIPRP3 Antibody
SKU:
PACO29030
Size:
50μg
Isotype:
IgG
Host Species:
Rabbit
Reactivity:
Human, Mouse
Immunogen:
Recombinant Human Pancreatic lipase-related protein 3 protein (201-467AA)
Western Blot Positive WB detected in: Mouse liver tissue, Mouse kidney tissue All lanes: PNLIPRP3 antibody at 3.5µg/ml Secondary Goat polyclonal to rabbit IgG at 1/50000 dilution Predicted band size: 53 kDa Observed band size: 53 kDa
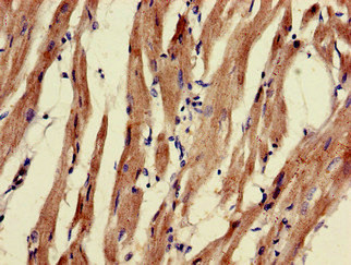
Immunohistochemistry of paraffin-embedded human heart tissue using PACO29030 at dilution of 1:100
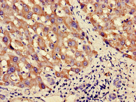
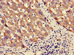
Immunohistochemistry of paraffin-embedded human liver cancer using PACO29030 at dilution of 1:100