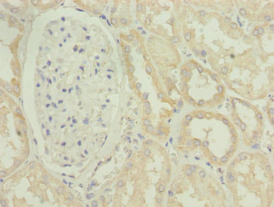
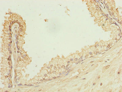
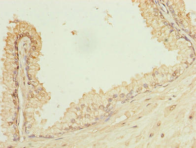
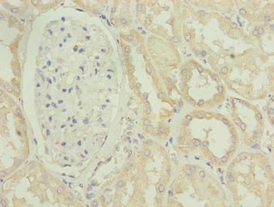
POGZ Antibody is a premium polyclonal that offers outstanding performance and reliability for demanding research applications. Rigorously validated for ELISA, IHC, this antibody ensures consistent, reproducible results across multiple experimental platforms. Demonstrates excellent reactivity with Human samples, providing researchers with confidence in cross-species compatibility. Conveniently packaged in 50ug format to meet your experimental needs. For optimal performance, store at -20°C or -80°C and maintains stability for 12 months. Backed by rigorous quality control testing to ensure superior performance in your critical research applications.
Product Name:
POGZ Antibody
SKU:
PACO29046
Size:
50μg
Isotype:
IgG
Host Species:
Rabbit
Reactivity:
Human
Immunogen:
Recombinant Human Pogo transposable element with ZNF domain protein (1-300AA)
Immunogen Species:
Homo sapiens (Human)
Uniprot No:
Q7Z3K3
Form:
Liquid
Tested Applications:
ELISAIHC
Recommended Dilution:
Application
Recommended Dilution
IHC
1:20-1:200
Synonyms:
KIAA0461 antibody, MGC71543 antibody, Pogo transposable element with ZNF domain antibody, POGZ antibody, POGZ_HUMAN antibody, putative protein product of Nbla00003 antibody, SUHW5 antibody, suppressor of hairy wing homolog antibody, Suppressor of hairy wing homolog 5 antibody, Zinc finger protein 280E antibody, Zinc finger protein 635 antibody, ZNF280E antibody, ZNF635 antibody, ZNF635M antibody