The POLR2A Antibody (CAB11181) is a high-quality antibody developed for reliable detection and analysis of target proteins. The antibody, raised in rabbits, is highly specific for human samples and has been validated for use in Western blot applications. By binding to the POLR2A protein, this antibody allows for the detection and analysis of POLR2A expression in various cell types, making it an essential tool for studies in molecular biology and gene expression.POLR2A is a critical component of the RNA polymerase II complex, responsible for transcribing messenger RNA and regulating gene expression.
This antibody is validated for use in WB, IHC-P, IF/ICC, ChIP, ELISA applications and has demonstrated reactivity against Human, Mouse, Rat samples.
Product Name:
POLR2A Antibody
SKU:
CAB11181
Size:
20μL, 100μL
Reactivity:
Human, Mouse, Rat
Conjugate:
Unconjugated
Immunogen:
Synthetic peptide. This information is considered to be commercially sensitive.
This gene encodes the largest subunit of RNA polymerase II, the polymerase responsible for synthesizing messenger RNA in eukaryotes. The product of this gene contains a carboxy terminal domain composed of heptapeptide repeats that are essential for polymerase activity. These repeats contain serine and threonine residues that are phosphorylated in actively transcribing RNA polymerase. In addition, this subunit, in combination with several other polymerase subunits, forms the DNA binding domain of the polymerase, a groove in which the DNA template is transcribed into RNA.
Purification Method
Affinity purification
Gene ID
5430
RRID
AB_2758448
Buffer Information
Store at -20℃. Avoid freeze / thaw cycles. Buffer: PBS containing 50% glycerol, preserved with proclin300 or sodium azide, pH 7.3.
Western blot analysis of various lysates using POLR2A Rabbit pAb (CAB11181) at 1:1000 dilution. Secondary antibody: HRP-conjugated Goat anti-Rabbit IgG (H+L) (CABS014) at 1:10000 dilution. Lysates/proteins: 25μg per lane. Blocking buffer: 3% nonfat dry milk in TBST. Detection: ECL Basic Kit (AbGn00020). Exposure time: 30s.
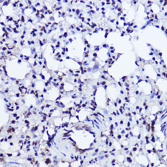
Immunohistochemistry analysis of paraffin-embedded Rat lung using POLR2A Rabbit pAb (CAB11181) at dilution of 1:50 (40x lens). High pressure antigen retrieval performed with 0.01M Citrate buffer (pH 6.0) prior to IHC staining.
Immunofluorescence analysis of HeLa cells using POLR2A Rabbit pAb (CAB11181) at dilution of 1:100 (40x lens). Secondary antibody: Cy3-conjugated Goat anti-Rabbit IgG (H+L) (CABS007) at 1:500 dilution. Blue: DAPI for nuclear staining.
Chromatin immunoprecipitation analysis of extracts of HeLa cells, using POLR2A antibody (CAB11181) and rabbit IgG.The amount of immunoprecipitated DNA was checked by quantitative PCR. Histogram was constructed by the ratios of the immunoprecipitated DNA to the input.