The PPP2R2B/PPP2R2C Antibody (CAB18572) is a high-quality antibody developed for reliable detection and analysis of target proteins. This antibody, produced in rabbits, has high reactivity with human samples and has been validated for use in Western blot applications.PPP2R2B and PPP2R2C are involved in the regulation of key cellular processes, including cell cycle progression, apoptosis, and signaling pathways. Dysregulation of PP2A activity has been linked to various diseases, making these proteins potential targets for therapeutic interventions. By using the PPP2R2B/PPP2R2C Polyclonal Antibody, researchers can detect and analyze the expression of these proteins in different cell types, providing insight into their roles in biology and disease pathology.
This antibody is validated for use in WB, ELISA applications and has demonstrated reactivity against Human, Mouse, Rat samples.
Product Name:
PPP2R2B/PPP2R2C Antibody
SKU:
CAB18572
Size:
20μL, 100μL
Reactivity:
Human, Mouse, Rat
Immunogen:
Recombinant protein (or fragment).This information is considered to be commercially sensitive.
Sequence:
GDKG GRVV IFQR EQES KNQV HRRG EYNV YSTF QSHE PEFD YLKS LEIE EKIN KIRW LPQQ NAAY FLLS TNDK TVKL WKVS ERDK RPEG YNLK DEEG RLRD PATI TTLR VPVL R
Tested Applications:
WBELISA
Recommended Dilution:
WB
1:500 - 1:2000
ELISA
Recommended starting concentration is 1 μg/mL. Please optimize the concentration based on your specific assay requirements.
Synonyms:
PPP2R2B/PPP2R2C
Positive Sample:
MCF7, Mouse brain, Mouse testis, Rat brain, Rat testis
Protein phosphatase 3 is one of the four major Ser/Thr phosphatases, and it is implicated in the negative control of cell growth and division. It consists of a common heteromeric core enzyme, which is composed of a catalytic subunit and a constant regulatory subunit, that associates with a variety of regulatory subunits. The constant regulatory subunit A serves as a scaffolding molecule to coordinate the assembly of the catalytic subunit and a variable regulatory B subunit.The B regulatory subunit might modulate substrate selectivity and catalytic activity.
Purification Method
Affinity purification
Gene ID
5521 5522
RRID
AB_2862336
Buffer Information
Store at -20℃. Avoid freeze / thaw cycles. Buffer: PBS with 0.01% thimerosal,50% glycerol,pH7.3.
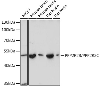
Western blot analysis of various lysates using PPP2R2B/PPP2R2C Rabbit pAb (CAB18572) at 1:1000 dilution. Secondary antibody: HRP-conjugated Goat anti-Rabbit IgG (H+L) (CABS014) at 1:10000 dilution. Lysates/proteins: 25μg per lane. Blocking buffer: 3% nonfat dry milk in TBST. Detection: ECL Basic Kit (AbGn00020). Exposure time: 5s.