The PQBP1 Antibody (CAB4369) is a high-quality antibody developed for reliable detection and analysis of target proteins. This antibody is generated in rabbits and is highly reactive with human samples, making it a valuable tool for studies focused on understanding PQBP1's functions and interactions.PQBP1 is known to be involved in various cellular processes, including RNA splicing and transcriptional regulation, making it a key player in neuronal development and function.
This antibody is validated for use in WB, ELISA applications and has demonstrated reactivity against Human, Mouse, Rat samples.
Product Name:
PQBP1 Antibody
SKU:
CAB4369
Size:
20μL, 100μL
Reactivity:
Human, Mouse, Rat
Conjugate:
Unconjugated
Immunogen:
Recombinant protein (or fragment).This information is considered to be commercially sensitive.
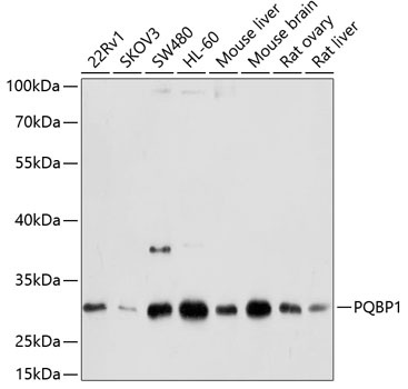
22Rv1, SW480, HL-60, Mouse liver, Mouse brain, Rat brain, Rat ovary, Rat liver, SKOV3
Cellular Localization:
Nucleus, Nucleus Speckle.
Calculated MW:
30kDa
Observed MW:
30kDa
This gene encodes a nuclear polyglutamine-binding protein that is involved with transcription activation. The encoded protein contains a WW domain. Mutations in this gene have been found in patients with Renpenning syndrome 1 and other syndromes with X-linked cognitive disability. Multiple alternatively spliced transcript variants that encode different protein isoforms have been described for this gene.
Purification Method
Affinity purification
Gene ID
10084
RRID
AB_2765646
Buffer Information
Store at -20℃. Avoid freeze / thaw cycles. Buffer: PBS containing 50% glycerol, preserved with proclin300 or sodium azide, pH 7.3.
Western blot analysis of various lysates using PQBP1 Rabbit pAb (CAB4369) at 1:1000 dilution. Secondary antibody: HRP-conjugated Goat anti-Rabbit IgG (H+L) (CABS014) at 1:10000 dilution. Lysates/proteins: 25μg per lane. Blocking buffer: 3% nonfat dry milk in TBST. Detection: ECL Basic Kit (AbGn00020). Exposure time: 10s.