PREX2 Antibody is a premium polyclonal that offers outstanding performance and reliability for demanding research applications. Rigorously validated for ELISA, WB, IHC, IF, this antibody ensures consistent, reproducible results across multiple experimental platforms. Demonstrates excellent reactivity with Human, Mouse samples, providing researchers with confidence in cross-species compatibility. Conveniently packaged in 50ug format to meet your experimental needs. For optimal performance, store at -20°C or -80°C and maintains stability for 12 months. Backed by rigorous quality control testing to ensure superior performance in your critical research applications.
Product Name:
PREX2 Antibody
SKU:
PACO47946
Size:
50μg
Isotype:
IgG
Host Species:
Rabbit
Reactivity:
Human, Mouse
Immunogen:
Recombinant Human Phosphatidylinositol 3,4,5-trisphosphate-dependent Rac exchanger 2 protein (1417-1592AA)
Western Blot Positive WB detected in: Mouse brain tissue All lanes: PREX2 antibody at 3.4µg/ml Secondary Goat polyclonal to rabbit IgG at 1/50000 dilution Predicted band size: 183, 172, 113 kDa Observed band size: 183, 113 kDa
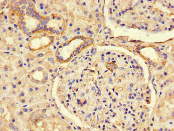
Immunohistochemistry of paraffin-embedded human kidney tissue using PACO47946 at dilution of 1:100
Immunofluorescent analysis of HepG2 cells using PACO47946 at dilution of 1:100 and Alexa Fluor 488-congugated AffiniPure Goat Anti-Rabbit IgG(H+L)