The PROK2 Antibody (CAB6705) is a high-quality antibody developed for reliable detection and analysis of target proteins. This antibody, produced in rabbits, exhibits high reactivity with human samples and has been validated for use in Western blot applications. By specifically binding to the Prokineticin-2 protein, this antibody allows for accurate detection and analysis in a variety of cell types, making it an ideal choice for studies in neuroscience, immunology, and pain research.Prokineticin-2 is a crucial signaling molecule involved in regulating inflammation, circadian rhythms, and reproductive functions.
This antibody is validated for use in WB, IHC-P, IF/ICC, ELISA applications and has demonstrated reactivity against Human, Mouse, Rat samples.
Product Name:
PROK2 Antibody
SKU:
CAB6705
Size:
20μL, 100μL
Reactivity:
Human, Mouse, Rat
Conjugate:
Unconjugated
Immunogen:
Recombinant protein (or fragment).This information is considered to be commercially sensitive.
Recommended starting concentration is 1 μg/mL. Please optimize the concentration based on your specific assay requirements.
Synonyms:
BV8, HH4, PK2, KAL4, MIT1, PROK2
Positive Sample:
Rat testis
Cellular Localization:
Secreted.
Calculated MW:
14kDa
Observed MW:
20kDa
This gene encodes a protein expressed in the suprachiasmatic nucleus (SCN) circadian clock that may function as the output component of the circadian clock. The secreted form of the encoded protein may also serve as a chemoattractant for neuronal precursor cells in the olfactory bulb. Proteins from other vertebrates which are similar to this gene product were isolated based on homology to snake venom and secretions from frog skin, and have been shown to have diverse functions. Mutations in this gene are associated with Kallmann syndrome 4. Multiple transcript variants encoding different isoforms have been found for this gene.
Purification Method
Affinity purification
Gene ID
60675
RRID
AB_2767288
Buffer Information
Store at -20℃. Avoid freeze / thaw cycles. Buffer: PBS containing 50% glycerol, preserved with proclin300 or sodium azide, pH 7.3.
Western blot analysis of lysates from Rat testis, using PROK2 Rabbit pAb (CAB6705) at 1:2000 dilution. Secondary antibody: HRP-conjugated Goat anti-Rabbit IgG (H+L) (CABS014) at 1:10000 dilution. Lysates/proteins: 25μg per lane. Blocking buffer: 3% nonfat dry milk in TBST. Detection: ECL Basic Kit (AbGn00020). Exposure time: 60s.
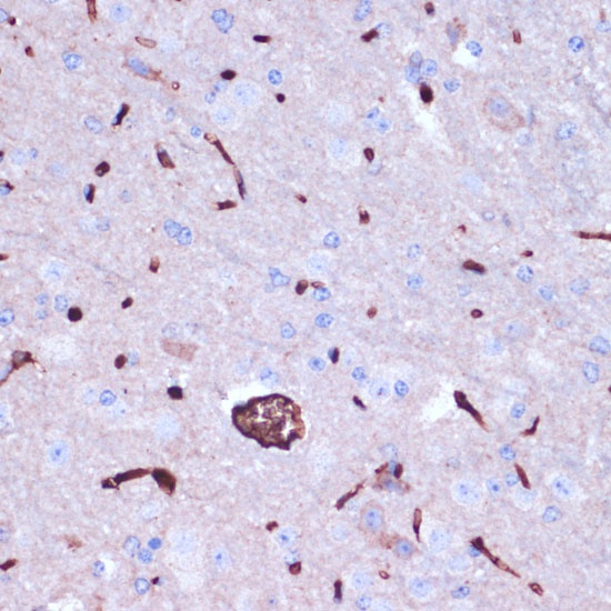
Immunohistochemistry analysis of paraffin-embedded Mouse brain using PROK2 Rabbit pAb (CAB6705) at dilution of 1:100 (40x lens). Microwave antigen retrieval performed with 0.01M PBS Buffer (pH 7.2) prior to IHC staining.