The PRL Antibody (CAB1618) is a high-quality antibody developed for reliable detection and analysis of target proteins. This antibody, produced in rabbits, is highly specific to human samples and has been validated for use in Western blot applications. It enables the detection and analysis of prolactin protein in various tissues and cell types, making it ideal for studies related to endocrinology, fertility, and breast cancer research.Prolactin is a versatile hormone with diverse functions beyond lactation, including immune regulation, metabolism, and behavior.
This antibody is validated for use in WB, IHC-P, ELISA applications and has demonstrated reactivity against Human, Mouse, Rat samples.
Product Name:
PRL Antibody
SKU:
CAB1618
Size:
20μL, 100μL
Reactivity:
Human, Mouse, Rat
Conjugate:
Unconjugated
Immunogen:
Recombinant protein (or fragment).This information is considered to be commercially sensitive.
Recommended starting concentration is 1 μg/mL. Please optimize the concentration based on your specific assay requirements.
Synonyms:
GHA1, PRL
Positive Sample:
293F-Prolactin-Avi-His-C
Cellular Localization:
Secreted.
Calculated MW:
26kDa
Observed MW:
24kDa
This gene encodes the anterior pituitary hormone prolactin. This secreted hormone is a growth regulator for many tissues, including cells of the immune system. It may also play a role in cell survival by suppressing apoptosis, and it is essential for lactation. Alternative splicing results in multiple transcript variants that encode the same protein.
Purification Method
Affinity purification
Gene ID
5617
RRID
AB_2763630
Buffer Information
Store at -20℃. Avoid freeze / thaw cycles. Buffer: PBS containing 50% glycerol, preserved with proclin300 or sodium azide, pH 7.3.
Western blot analysis of extracts of normal 293F cells and 293F transfected with 293F-Prolactin-Avi-His-C protein, using PRL Rabbit pAb (CAB1618) at 1:700 dilution. Secondary antibody: HRP-conjugated Goat anti-Rabbit IgG (H+L) (CABS014) at 1:10000 dilution. Lysates/proteins: 25μg per lane. Blocking buffer: 3% nonfat dry milk in TBST. Detection: ECL Basic Kit (AbGn00020). Exposure time: 5s.
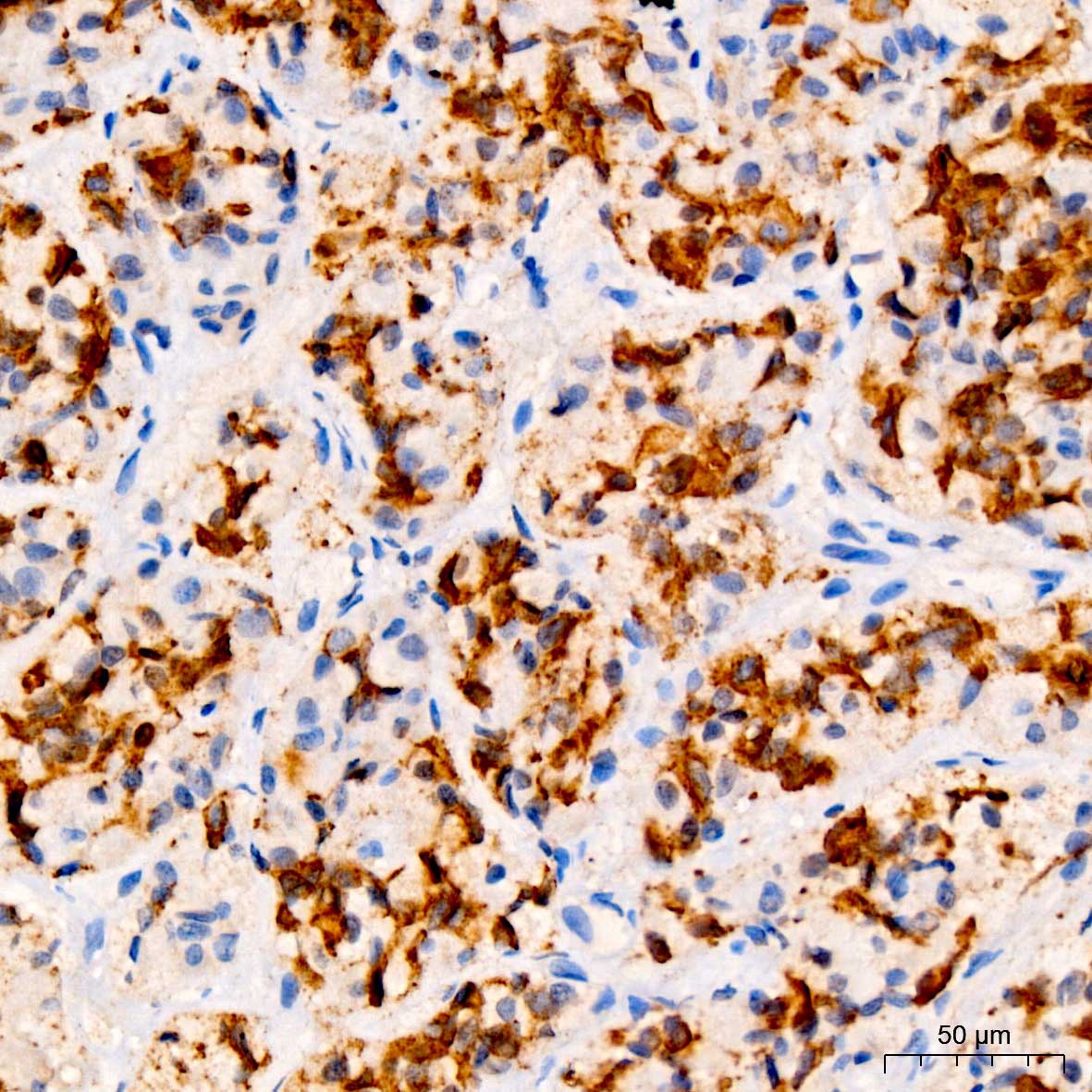
Immunohistochemistry analysis of paraffin-embedded Human pituitary gland using PRL Rabbit pAb (CAB1618) at dilution of 1:600 (40x lens). High pressure antigen retrieval performed with 0.01M Tris/EDTA Buffer (pH 9.0) prior to IHC staining.