The MGEA5 Antibody (CAB9033) is a high-quality antibody developed for reliable detection and analysis of target proteins. This antibody is produced in rabbits and exhibits high reactivity with human samples, making it ideal for use in Western blot applications.O-GlcNAcase plays a crucial role in cellular processes such as signal transduction, transcription, and metabolism by controlling the levels of O-GlcNAc modifications on key proteins. Dysregulation of O-GlcNAc modification has been implicated in various diseases, including cancer, diabetes, and neurodegenerative disorders.
This antibody is validated for use in WB, IHC-P, ELISA applications and has demonstrated reactivity against Human, Mouse, Rat samples.
Product Name:
MGEA5 Antibody
SKU:
CAB9033
Size:
20μL, 100μL
Reactivity:
Human, Mouse, Rat
Conjugate:
Unconjugated
Immunogen:
Recombinant protein (or fragment).This information is considered to be commercially sensitive.
Recommended starting concentration is 1 μg/mL. Please optimize the concentration based on your specific assay requirements.
Synonyms:
MEA5, MGEA5, NCOAT
Positive Sample:
U-87MG, HeLa
Cellular Localization:
Cytoplasm, Nucleus.
Calculated MW:
103kDa
Observed MW:
130kDa
The dynamic modification of cytoplasmic and nuclear proteins by O-linked N-acetylglucosamine (O-GlcNAc) addition and removal on serine and threonine residues is catalyzed by OGT (MIM 300255), which adds O-GlcNAc, and MGEA5, a glycosidase that removes O-GlcNAc modifications (Gao et al., 2001 [PubMed 11148210]).
Purification Method
Affinity purification
Gene ID
10724
RRID
AB_2770357
Buffer Information
Store at -20℃. Avoid freeze / thaw cycles. Buffer: PBS containing 50% glycerol, preserved with proclin300 or sodium azide, pH 7.3.
Western blot analysis of various lysates, using MGEA5 Rabbit pAb (CAB9033) at 1:600 dilution. Secondary antibody: HRP-conjugated Goat anti-Rabbit IgG (H+L) (CABS014) at 1:10000 dilution. Lysates/proteins: 25μg per lane. Blocking buffer: 3% nonfat dry milk in TBST. Detection: ECL Basic Kit (AbGn00020). Exposure time: 180s.
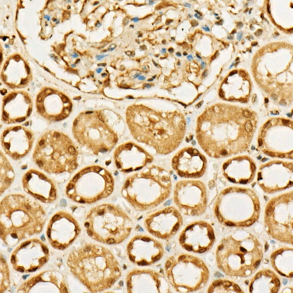
Immunohistochemistry analysis of paraffin-embedded Human kidney using MGEA5 Rabbit pAb (CAB9033) at dilution of 1:50 (40x lens). High pressure antigen retrieval performed with 0.01M Citrate buffer (pH 6.0) prior to IHC staining.