The PMEPA1 Antibody (CAB12171) is a high-quality antibody developed for reliable detection and analysis of target proteins. This antibody, raised in rabbits, is highly reactive with human samples and has been validated for use in Western blot applications.TMEPAI, also known as transmembrane prostate androgen-induced protein, is a critical regulator of cell growth and has been implicated in various cancer types. By targeting TMEPAI, researchers can study the mechanisms underlying cell proliferation and potentially develop targeted therapies for cancer treatment.
This antibody is validated for use in WB, ELISA applications and has demonstrated reactivity against Human, Mouse, Rat samples.
Product Name:
PMEPA1 Antibody
SKU:
CAB12171
Size:
20μL, 100μL
Reactivity:
Human, Mouse, Rat
Conjugate:
Unconjugated
Immunogen:
Recombinant protein (or fragment).This information is considered to be commercially sensitive.
Recommended starting concentration is 1 μg/mL. Please optimize the concentration based on your specific assay requirements.
Synonyms:
STAG1, TMEPAI, PMEPA1
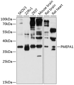
Positive Sample:
SKOV3, 22Rv1, 293T, Mouse brain, Rat brain, Rat heart
Cellular Localization:
Early Endosome Membrane, Golgi Apparatus Membrane, Single-Pass Membrane Protein.
Calculated MW:
32kDa
Observed MW:
37kDa
This gene encodes a transmembrane protein that contains a Smad interacting motif (SIM). Expression of this gene is induced by androgens and transforming growth factor beta, and the encoded protein suppresses the androgen receptor and transforming growth factor beta signaling pathways though interactions with Smad proteins. Overexpression of this gene may play a role in multiple types of cancer. Alternatively spliced transcript variants encoding multiple isoforms have been observed for this gene.
Purification Method
Affinity purification
Gene ID
56937
RRID
AB_2759058
Buffer Information
Store at -20℃. Avoid freeze / thaw cycles. Buffer: PBS with 0.01% thimerosal,50% glycerol,pH7.3.
Western blot analysis of various lysates using PMEPA1 Rabbit pAb (CAB12171) at 1:3000 dilution. Secondary antibody: HRP-conjugated Goat anti-Rabbit IgG (H+L) (CABS014) at 1:10000 dilution. Lysates/proteins: 25μg per lane. Blocking buffer: 3% nonfat dry milk in TBST. Detection: ECL Basic Kit (AbGn00020). Exposure time: 30s.