PTPRT Antibody is a premium polyclonal that offers outstanding performance and reliability for demanding research applications. Rigorously validated for ELISA, IHC, this antibody ensures consistent, reproducible results across multiple experimental platforms. Demonstrates excellent reactivity with Human, Mouse samples, providing researchers with confidence in cross-species compatibility. Conveniently packaged in 50ul format to meet your experimental needs. For optimal performance, store at -20°C or -80°C and maintains stability for 12 months. Backed by rigorous quality control testing to ensure superior performance in your critical research applications.
Product Name:
PTPRT Antibody
SKU:
PACO18858
Size:
50μl
Isotype:
IgG
Host Species:
Rabbit
Reactivity:
Human, Mouse
Immunogen:
Synthetic peptide of Human PTPRT
Immunogen Species:
Homo sapiens (Human)
Uniprot No:
O14522
Form:
Liquid
Tested Applications:
ELISAIHC
Recommended Dilution:
Application
Recommended Dilution
ELISA
1:1000-1:5000
IHC
1:25-1:100
Synonyms:
Protein tyrosine phosphatase receptor type T antibody, PTPRT antibody, PTPRT_HUMAN antibody, R PTP T antibody, R-PTP-T antibody, Receptor protein tyrosine phosphatase antibody, Receptor-type tyrosine-protein phosphatase rho antibody, Receptor-type tyrosine-protein phosphatase T antibody, RPTP-rho antibody, RPTPmam4 antibody, RPTPrho antibody
Target Names:
PTPRT
Storage Buffer:
-20°C, pH7.4 PBS, 0.05% NaN3, 40% Glycerol
Purification:
Antigen affinity purification
Conjugate:
Non-conjugated
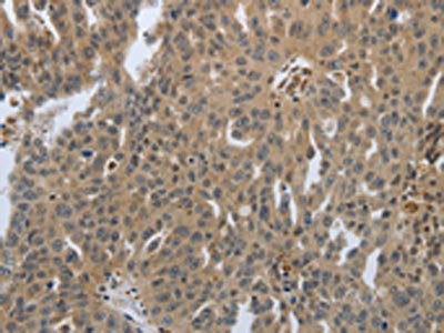
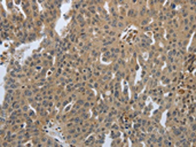
The image on the left is immunohistochemistry of paraffin-embedded Human ovarian cancer tissue using PACO18858 at dilution 1/30, on the right is treated with synthetic peptide. (Original magnification: ×200)