The RABGGTB Antibody (CAB15310) is a high-quality antibody developed for reliable detection and analysis of target proteins. This high-quality antibody, produced in rabbits, exhibits strong reactivity with human samples and is specifically validated for use in Western blot applications.RabGGTB plays a crucial role in controlling vesicle transport within cells, influencing processes such as endocytosis, exocytosis, and organelle biogenesis. By targeting RabGGTB with this antibody, researchers can investigate its function and localization in various cell types, providing valuable insights into cellular dynamics and signaling pathways.
This antibody is validated for use in WB, ELISA applications and has demonstrated reactivity against Human, Mouse, Rat samples.
Product Name:
RABGGTB Antibody
SKU:
CAB15310
Size:
20μL, 100μL
Reactivity:
Human, Mouse, Rat
Conjugate:
Unconjugated
Immunogen:
Recombinant protein (or fragment).This information is considered to be commercially sensitive.
This gene encodes the beta-subunit of the enzyme Rab geranylgeranyl-transferase (RabGGTase), which belongs to the protein prenyltransferase family. RabGGTase catalyzes the post-translational addition of geranylgeranyl groups to C-terminal cysteine residues of Rab GTPases. Three small nucleolar RNA genes are present in the intronic regions of this gene. Alternately spliced transcript variants have been observed for this gene. A pseudogene associated with this gene is located on chromosome 3.
Purification Method
Affinity purification
Gene ID
5876
RRID
AB_2762211
Buffer Information
Store at -20℃. Avoid freeze / thaw cycles. Buffer: PBS with 0.01% thimerosal,50% glycerol,pH7.3.
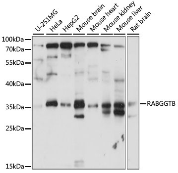
Western blot analysis of various lysates using RABGGTB Rabbit pAb (CAB15310) at 1:1000 dilution. Secondary antibody: HRP-conjugated Goat anti-Rabbit IgG (H+L) (CABS014) at 1:10000 dilution. Lysates/proteins: 25μg per lane. Blocking buffer: 3% nonfat dry milk in TBST. Detection: ECL Basic Kit (AbGn00020). Exposure time: 30s.