The RIPK4 Antibody (CAB8495) is a high-quality antibody developed for reliable detection and analysis of target proteins. This antibody, produced in rabbits, exhibits high reactivity towards human samples and is specifically validated for use in Western blot applications. By binding to the RIPK4 protein, it enables precise detection and analysis in a variety of cell types, making it perfect for investigations in the fields of immunology and cancer research.RIPK4, also known as receptor-interacting serine/threonine-protein kinase 4, is a key player in signaling pathways that control immune responses and inflammatory processes.
This antibody is validated for use in WB, IHC-P, ELISA applications and has demonstrated reactivity against Human, Mouse samples.
Product Name:
RIPK4 Antibody
SKU:
CAB8495
Size:
20μL, 100μL
Reactivity:
Human, Mouse
Conjugate:
Unconjugated
Immunogen:
Recombinant protein (or fragment).This information is considered to be commercially sensitive.
The protein encoded by this gene is a serine/threonine protein kinase that interacts with protein kinase C-delta. The encoded protein can also activate NFkappaB and is required for keratinocyte differentiation. This kinase undergoes autophosphorylation.
Purification Method
Affinity purification
Gene ID
54101
RRID
AB_2772024
Buffer Information
Store at -20℃. Avoid freeze / thaw cycles. Buffer: PBS containing 50% glycerol, preserved with proclin300 or sodium azide, pH 7.3.
Western blot analysis of lysates from A375 cells, using RIPK4 Rabbit pAb (CAB8495) at 1:1000 dilution. Secondary antibody: HRP-conjugated Goat anti-Rabbit IgG (H+L) (CABS014) at 1:10000 dilution. Lysates/proteins: 25μg per lane. Blocking buffer: 3% nonfat dry milk in TBST. Detection: ECL Basic Kit (AbGn00020). Exposure time: 30s.
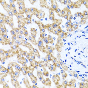
Immunohistochemistry analysis of paraffin-embedded Human liver damage using RIPK4 Rabbit pAb (CAB8495) at dilution of 1:100 (40x lens). Microwave antigen retrieval performed with 0.01M PBS Buffer (pH 7.2) prior to IHC staining.