RMDN1 Antibody is a premium polyclonal that offers outstanding performance and reliability for demanding research applications. Rigorously validated for ELISA, WB, IHC, this antibody ensures consistent, reproducible results across multiple experimental platforms. Demonstrates excellent reactivity with Human samples, providing researchers with confidence in cross-species compatibility. Conveniently packaged in 50ug format to meet your experimental needs. For optimal performance, store at -20°C or -80°C and maintains stability for 12 months. Backed by rigorous quality control testing to ensure superior performance in your critical research applications.
Product Name:
RMDN1 Antibody
SKU:
PACO39570
Size:
50μg
Isotype:
IgG
Host Species:
Rabbit
Reactivity:
Human
Immunogen:
Recombinant Human Regulator of microtubule dynamics protein 1 protein (13-314AA)
Immunogen Species:
Homo sapiens (Human)
Uniprot No:
Q96DB5
Form:
Liquid
Tested Applications:
ELISAWBIHC
Recommended Dilution:
Application
Recommended Dilution
WB
1:1000-1:5000
IHC
1:20-1:200
Synonyms:
RMDN1 antibody, FAM82B antibody, CGI-90 antibody, Regulator of microtubule dynamics protein 1 antibody, RMD-1 antibody, hRMD-1 antibody, Protein FAM82B antibody
Western blot All lanes: RMDN1 antibody at 0.6µg/ml Lane 1: K562 whole cell lysate Lane 2: HepG2 whole cell lysate Lane 3: MCF-7 whole cell lysate Secondary Goat polyclonal to rabbit IgG at 1/10000 dilution Predicted band size: 36, 33, 31 kDa Observed band size: 31 kDa
Immunohistochemistry of paraffin-embedded human skeletal muscle tissue using PACO39570 at dilution of 1:100
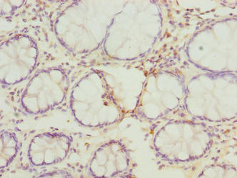
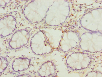
Immunohistochemistry of paraffin-embedded human colon cancer using PACO39570 at dilution of 1:100