The DHX9/RNA Helicase A Monoclonal Antibody (CAB4563) is a high-quality antibody developed for reliable detection and analysis of target proteins. This antibody, produced in rabbits, exhibits high specificity and sensitivity towards human samples, making it ideal for Western blot applications.RNA Helicase A is known for its role in unwinding RNA structures, facilitating RNA processing, and participating in various cellular processes such as transcription, translation, and RNA splicing. Dysregulation of RNA Helicase A has been associated with multiple diseases, including cancer, neurological disorders, and viral infections, highlighting its importance as a potential therapeutic target.
This antibody is validated for use in WB, IHC-P, IF/ICC, IP, ELISA applications and has demonstrated reactivity against Human, Mouse, Rat samples.
Product Name:
DHX9/RNA Helicase A Monoclonal Antibody
SKU:
CAB4563
Size:
20μL, 100μL
Reactivity:
Human, Mouse, Rat
Clone Number:
ARC1033
Conjugate:
Unconjugated
Immunogen:
Synthetic peptide. This information is considered to be commercially sensitive.
0.5μg-4μg antibody for 200μg-400μg extracts of whole cells
ELISA
Recommended starting concentration is 1 μg/mL. Please optimize the concentration based on your specific assay requirements.
Synonyms:
LKP, RHA, DDX9, NDH2, NDHII, DHX9/RNA Helicase A
Positive Sample:
HeLa, Mouse testis
Cellular Localization:
Cytoplasm, Nucleus, Nucleolus.
Calculated MW:
141kDa
Observed MW:
141kDa
This gene encodes a member of the DEAH-containing family of RNA helicases. The encoded protein is an enzyme that catalyzes the ATP-dependent unwinding of double-stranded RNA and DNA-RNA complexes. This protein localizes to both the nucleus and the cytoplasm and functions as a transcriptional regulator. This protein may also be involved in the expression and nuclear export of retroviral RNAs. Alternate splicing results in multiple transcript variants. Pseudogenes of this gene are found on chromosomes 11 and 13.
Purification Method
Affinity purification
Gene ID
1660
RRID
AB_2863296
Buffer Information
Store at -20℃. Avoid freeze / thaw cycles. Buffer: PBS containing 50% glycerol and 0.05% BSA, preserved with proclin300 or sodium azide, pH 7.3.
Western blot analysis of various lysates using DHX9/RNA Helicase A Rabbit mAb (CAB4563) at 1:1000 dilution. Secondary antibody: HRP-conjugated Goat anti-Rabbit IgG (H+L) (CABS014) at 1:10000 dilution. Lysates/proteins: 25μg per lane. Blocking buffer: 3% nonfat dry milk in TBST. Detection: ECL Basic Kit (AbGn00020). Exposure time: 1s.
Immunohistochemistry analysis of paraffin-embedded Human colon carcinoma using DHX9/RNA Helicase A Rabbit mAb (CAB4563) at dilution of 1:200 (40x lens). High pressure antigen retrieval performed with 0.01M Citrate buffer (pH 6.0) prior to IHC staining.
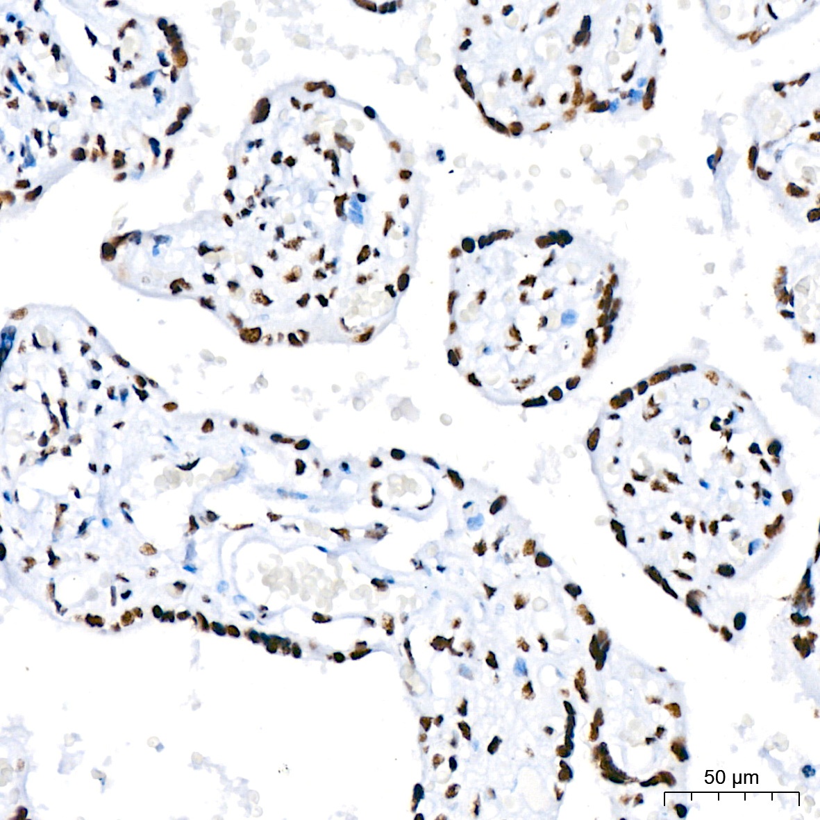
Immunohistochemistry analysis of paraffin-embedded Human placenta using DHX9/RNA Helicase A Rabbit mAb (CAB4563) at dilution of 1:200 (40x lens). High pressure antigen retrieval performed with 0.01M Citrate buffer (pH 6.0) prior to IHC staining.
Immunohistochemistry analysis of paraffin-embedded Mouse kidney using DHX9/RNA Helicase A Rabbit mAb (CAB4563) at dilution of 1:200 (40x lens). High pressure antigen retrieval performed with 0.01M Citrate buffer (pH 6.0) prior to IHC staining.
Immunohistochemistry analysis of paraffin-embedded Rat brain using DHX9/RNA Helicase A Rabbit mAb (CAB4563) at dilution of 1:200 (40x lens). High pressure antigen retrieval performed with 0.01M Citrate buffer (pH 6.0) prior to IHC staining.
Immunohistochemistry analysis of paraffin-embedded Rat liver using DHX9/RNA Helicase A Rabbit mAb (CAB4563) at dilution of 1:200 (40x lens). High pressure antigen retrieval performed with 0.01M Citrate buffer (pH 6.0) prior to IHC staining.
Immunohistochemistry analysis of paraffin-embedded Rat testis using DHX9/RNA Helicase A Rabbit mAb (CAB4563) at dilution of 1:200 (40x lens). High pressure antigen retrieval performed with 0.01M Citrate buffer (pH 6.0) prior to IHC staining.
Confocal imaging of U-2 OS cells using DHX9/RNA Helicase A Rabbit mAb (CAB4563,dilution 1:100)(Red). The cells were counterstained with α-Tubulin Mouse mAb (AC012,dilution 1:400) (Green). DAPI was used for nuclear staining (blue). Objective: 100x.
Immunoprecipitation analysis of 300 μg extracts of HeLa cells using 3 μg DHX9/DHX9/RNA Helicase A antibody (CAB4563). Western blot was performed from the immunoprecipitate using DHX9/DHX9/RNA Helicase A antibody (CAB4563) at a dilution of 1:2000.