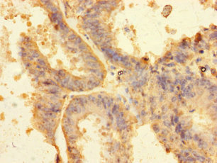
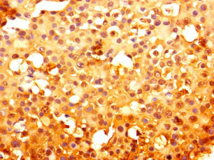
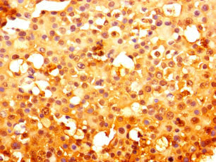
RNF103 Antibody is a premium polyclonal that offers outstanding performance and reliability for demanding research applications. Rigorously validated for ELISA, IHC, IF, this antibody ensures consistent, reproducible results across multiple experimental platforms. Demonstrates excellent reactivity with Human samples, providing researchers with confidence in cross-species compatibility. Conveniently packaged in 50ug format to meet your experimental needs. For optimal performance, store at -20°C or -80°C and maintains stability for 12 months. Backed by rigorous quality control testing to ensure superior performance in your critical research applications.
Product Name:
RNF103 Antibody
SKU:
PACO29532
Size:
50μg
Isotype:
IgG
Host Species:
Rabbit
Reactivity:
Human
Immunogen:
Recombinant Human E3 ubiquitin-protein ligase RNF103 protein (432-685AA)
Immunogen Species:
Homo sapiens (Human)
Uniprot No:
O00237
Form:
Liquid
Tested Applications:
ELISAIHCIF
Recommended Dilution:
Application
Recommended Dilution
IHC
1:20-1:200
IF
1:50-1:200
Synonyms:
RNF103, ZFP103, E3 ubiquitin-protein ligase RNF103, KF-1, hKF-1, RING finger protein 103, RING-type E3 ubiquitin transferase RNF103, Zinc finger protein 103 homolog, Zfp-103