The RPL5 Antibody (CAB1977) is a high-quality antibody developed for reliable detection and analysis of target proteins. This antibody, produced in rabbits, demonstrates high reactivity with human samples and is validated for use in Western blot applications. By binding specifically to the RPL5 protein, this antibody enables accurate detection and analysis of RPL5 in various cell types, making it ideal for investigations in molecular biology and cancer research.RPL5 plays a crucial role in the ribosome assembly process, contributing to the regulation of protein synthesis and cell proliferation.
This antibody is validated for use in WB, IHC-P, ELISA applications and has demonstrated reactivity against Human, Mouse, Rat samples.
Product Name:
RPL5 Antibody
SKU:
CAB1977
Size:
20μL, 100μL
Reactivity:
Human, Mouse, Rat
Conjugate:
Unconjugated
Immunogen:
Recombinant protein (or fragment).This information is considered to be commercially sensitive.
Recommended starting concentration is 1 μg/mL. Please optimize the concentration based on your specific assay requirements.
Synonyms:
L5, uL18, MSTP030, PPP1R135, RPL5
Positive Sample:
HT-29, HepG2, Mouse brain, Mouse heart, Rat liver
Cellular Localization:
Cytoplasm, Nucleus, Nucleolus.
Calculated MW:
34kDa
Observed MW:
34kDa
Ribosomes, the organelles that catalyze protein synthesis, consist of a small 40S subunit and a large 60S subunit. Together these subunits are composed of four RNA species and approximately 80 structurally distinct proteins. This gene encodes a member of the L18P family of ribosomal proteins and component of the 60S subunit. The encoded protein binds 5S rRNA to form a stable complex called the 5S ribonucleoprotein particle (RNP), which is necessary for the transport of nonribosome-associated cytoplasmic 5S rRNA to the nucleolus for assembly into ribosomes. The encoded protein may also function to inhibit tumorigenesis through the activation of downstream tumor suppressors and the downregulation of oncoprotein expression. Mutations in this gene have been identified in patients with Diamond-Blackfan Anemia (DBA). This gene is co-transcribed with the small nucleolar RNA gene U21, which is located in its fifth intron. As is typical for genes encoding ribosomal proteins, there are multiple processed pseudogenes of this gene dispersed throughout the genome.
Purification Method
Affinity purification
Gene ID
6125
RRID
AB_2764003
Buffer Information
Store at -20℃. Avoid freeze / thaw cycles. Buffer: PBS containing 50% glycerol, preserved with proclin300 or sodium azide, pH 7.3.
Western blot analysis of various lysates using RPL5 Rabbit pAb (CAB1977) at 1:500 dilution. Secondary antibody: HRP-conjugated Goat anti-Rabbit IgG (H+L) (CABS014) at 1:10000 dilution. Lysates/proteins: 25μg per lane. Blocking buffer: 3% nonfat dry milk in TBST. Detection: ECL Basic Kit (AbGn00020). Exposure time: 60s.
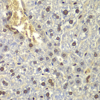
Immunohistochemistry analysis of paraffin-embedded Mouse liver using RPL5 Rabbit pAb (CAB1977) at dilution of 1:200 (40x lens). Microwave antigen retrieval performed with 0.01M PBS Buffer (pH 7.2) prior to IHC staining.