The RPL7 Antibody (CAB5932) is a high-quality antibody developed for reliable detection and analysis of target proteins. This antibody, produced in rabbits, shows high reactivity with human samples and has been validated for use in Western blot applications. By targeting the RPL7 protein, this antibody allows for precise detection and analysis in various cell types, making it an essential component for studies in molecular biology and cancer research.
This antibody is validated for use in WB, IHC-P, IF/ICC, ELISA applications and has demonstrated reactivity against Human, Mouse, Rat samples.
Product Name:
RPL7 Antibody
SKU:
CAB5932
Size:
20μL, 100μL
Reactivity:
Human, Mouse, Rat
Conjugate:
Unconjugated
Immunogen:
Recombinant protein (or fragment).This information is considered to be commercially sensitive.
Ribosomes, the organelles that catalyze protein synthesis, consist of a small 40S subunit and a large 60S subunit. Together these subunits are composed of 4 RNA species and approximately 80 structurally distinct proteins. This gene encodes a ribosomal protein that is a component of the 60S subunit. The protein belongs to the L30P family of ribosomal proteins. It contains an N-terminal basic region-leucine zipper (BZIP)-like domain and the RNP consensus submotif RNP2. In vitro the BZIP-like domain mediates homodimerization and stable binding to DNA and RNA, with a preference for 28S rRNA and mRNA. The protein can inhibit cell-free translation of mRNAs, suggesting that it plays a regulatory role in the translation apparatus. It is located in the cytoplasm. The protein has been shown to be an autoantigen in patients with systemic autoimmune diseases, such as systemic lupus erythematosus. As is typical for genes encoding ribosomal proteins, there are multiple processed pseudogenes of this gene dispersed through the genome.
Purification Method
Affinity purification
Gene ID
6129
RRID
AB_2766669
Buffer Information
Store at -20℃. Avoid freeze / thaw cycles. Buffer: PBS with 0.01% thimerosal,50% glycerol,pH7.3.
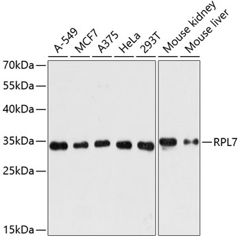
Western blot analysis of various lysates using RPL7 Rabbit pAb (CAB5932) at 1:3000 dilution. Secondary antibody: HRP-conjugated Goat anti-Rabbit IgG (H+L) (CABS014) at 1:10000 dilution. Lysates/proteins: 25μg per lane. Blocking buffer: 3% nonfat dry milk in TBST. Detection: ECL Basic Kit (AbGn00020). Exposure time: 60s.
Immunohistochemistry analysis of paraffin-embedded Rat brain using RPL7 Rabbit pAb (CAB5932) at dilution of 1:100 (40x lens). Microwave antigen retrieval performed with 0.01M PBS Buffer (pH 7.2) prior to IHC staining.
Immunohistochemistry analysis of paraffin-embedded Mouse kidney using RPL7 Rabbit pAb (CAB5932) at dilution of 1:100 (40x lens). Microwave antigen retrieval performed with 0.01M PBS Buffer (pH 7.2) prior to IHC staining.
Immunofluorescence analysis of L929 cells using RPL7 Rabbit pAb (CAB5932) at dilution of 1:100 (40x lens). Secondary antibody: Cy3-conjugated Goat anti-Rabbit IgG (H+L) (CABS007) at 1:500 dilution. Blue: DAPI for nuclear staining.