The RPP38 Antibody (CAB17080) is a high-quality antibody developed for reliable detection and analysis of target proteins. This antibody, produced in rabbits, is highly specific to human samples and has been validated for use in Western blot applications. By binding to the RPP38 protein, this antibody allows for accurate detection and analysis in various cell types, making it suitable for studies in molecular biology and gene regulation.
This antibody is validated for use in WB, IHC-P, IF/ICC, ELISA applications and has demonstrated reactivity against Human samples.
Product Name:
RPP38 Antibody
SKU:
CAB17080
Size:
20μL, 100μL
Reactivity:
Human
Immunogen:
Recombinant protein (or fragment).This information is considered to be commercially sensitive.
Recommended starting concentration is 1 μg/mL. Please optimize the concentration based on your specific assay requirements.
Synonyms:
RPP38
Positive Sample:
K-562, HeLa
Cellular Localization:
Nucleus, Nucleolus.
Calculated MW:
32kDa
Observed MW:
38kDa
Enables ribonuclease P RNA binding activity. Contributes to ribonuclease P activity. Involved in tRNA 5'-leader removal. Located in fibrillar center. Part of multimeric ribonuclease P complex.
Purification Method
Affinity purification
Gene ID
10557
RRID
AB_2772091
Buffer Information
Store at -20℃. Avoid freeze / thaw cycles. Buffer: PBS with 0.01% thimerosal,50% glycerol,pH7.3.
Western blot analysis of various lysates using RPP38 Rabbit pAb (CAB17080) at 1:1000 dilution. Secondary antibody: HRP-conjugated Goat anti-Rabbit IgG (H+L) (CABS014) at 1:10000 dilution. Lysates/proteins: 25μg per lane. Blocking buffer: 3% nonfat dry milk in TBST. Detection: ECL Basic Kit (AbGn00020). Exposure time: 30s.
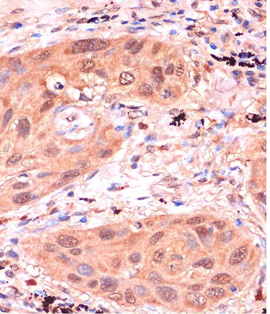
Immunohistochemistry analysis of paraffin-embedded Human lung cancer using RPP38 Rabbit pAb (CAB17080) at dilution of 1:100 (40x lens). Microwave antigen retrieval performed with 0.01M PBS Buffer (pH 7.2) prior to IHC staining.