The SAG Antibody (CAB13045) is a high-quality antibody developed for reliable detection and analysis of target proteins. This antibody, raised in rabbits, is highly specific for human samples and has been validated for use in Western blot applications.The Hedgehog signaling pathway plays a crucial role in embryonic development and adult tissue homeostasis, and dysregulation of this pathway has been implicated in various cancers and developmental disorders. SAG, also known as SMO (Smoothened), is a key component of this pathway and is essential for its activation.
This antibody is validated for use in WB, IHC-P, ELISA applications and has demonstrated reactivity against Mouse, Rat samples.
Product Name:
SAG Antibody
SKU:
CAB13045
Size:
20μL, 100μL
Reactivity:
Mouse, Rat
Conjugate:
Unconjugated
Immunogen:
Recombinant protein (or fragment).This information is considered to be commercially sensitive.
Members of arrestin/beta-arrestin protein family are thought to participate in agonist-mediated desensitization of G-protein-coupled receptors and cause specific dampening of cellular responses to stimuli such as hormones, neurotransmitters, or sensory signals. S-arrestin, also known as S-antigen, is a major soluble photoreceptor protein that is involved in desensitization of the photoactivated transduction cascade. It is expressed in the retina and the pineal gland and inhibits coupling of rhodopsin to transducin in vitro. Additionally, S-arrestin is highly antigenic, and is capable of inducing experimental autoimmune uveoretinitis. Mutations in this gene have been associated with Oguchi disease, a rare autosomal recessive form of night blindness.
Purification Method
Affinity purification
Gene ID
6295
RRID
AB_2759893
Buffer Information
Store at -20℃. Avoid freeze / thaw cycles. Buffer: PBS with 0.01% thimerosal,50% glycerol,pH7.3.
Western blot analysis of lysates from Mouse eye , using SAG Rabbit pAb (CAB13045) at 1:1000 dilution. Secondary antibody: HRP-conjugated Goat anti-Rabbit IgG (H+L) (CABS014) at 1:10000 dilution. Lysates/proteins: 25μg per lane. Blocking buffer: 3% nonfat dry milk in TBST. Detection: ECL Basic Kit (AbGn00020). Exposure time: 1s.
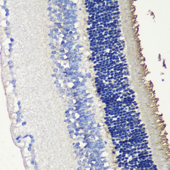
Immunohistochemistry analysis of paraffin-embedded Mouse retina using SAG Rabbit pAb (CAB13045) at dilution of 1:200 (40x lens). Microwave antigen retrieval performed with 0.01M PBS Buffer (pH 7.2) prior to IHC staining.