SAMD9L Antibody is a premium polyclonal that offers outstanding performance and reliability for demanding research applications. Rigorously validated for ELISA, IHC, this antibody ensures consistent, reproducible results across multiple experimental platforms. Demonstrates excellent reactivity with Human samples, providing researchers with confidence in cross-species compatibility. Conveniently packaged in 50ul format to meet your experimental needs. For optimal performance, store at -20°C or -80°C and maintains stability for 12 months. Backed by rigorous quality control testing to ensure superior performance in your critical research applications.
Product Name:
SAMD9L Antibody
SKU:
PACO20390
Size:
50μl
Isotype:
IgG
Host Species:
Rabbit
Reactivity:
Human
Immunogen:
Synthetic peptide of Human SAMD9L
Immunogen Species:
Homo sapiens (Human)
Uniprot No:
Q8IVG5
Form:
Liquid
Tested Applications:
ELISAIHC
Recommended Dilution:
Application
Recommended Dilution
ELISA
1:1000-1:2000
IHC
1:25-1:100
Synonyms:
SAMD9L antibody, C7orf6 antibody, DRIF2 antibody, KIAA2005 antibody, UEF antibody, Sterile alpha motif domain-containing protein 9-like antibody, SAM domain-containing protein 9-like antibody
Target Names:
SAMD9L
Storage Buffer:
-20°C, pH7.4 PBS, 0.05% NaN3, 40% Glycerol
Purification:
Antigen affinity purification
Conjugate:
Non-conjugated
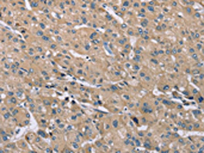
The image on the left is immunohistochemistry of paraffin-embedded Human liver cancer tissue using PACO20390 at dilution 1/30, on the right is treated with synthetic peptide. (Original magnification: ×200)
The image on the left is immunohistochemistry of paraffin-embedded Human brain tissue using PACO20390 at dilution 1/30, on the right is treated with synthetic peptide. (Original magnification: ×200)