SCARA5 Antibody is a premium polyclonal that offers outstanding performance and reliability for demanding research applications. Rigorously validated for ELISA, IHC, IF, this antibody ensures consistent, reproducible results across multiple experimental platforms. Demonstrates excellent reactivity with Human samples, providing researchers with confidence in cross-species compatibility. Conveniently packaged in 50ug format to meet your experimental needs. For optimal performance, store at -20°C or -80°C and maintains stability for 12 months. Backed by rigorous quality control testing to ensure superior performance in your critical research applications.
Product Name:
SCARA5 Antibody
SKU:
PACO55766
Size:
50μg
Isotype:
IgG
Host Species:
Rabbit
Reactivity:
Human
Immunogen:
Recombinant Human Scavenger receptor class A member 5 protein (303-428AA)
Immunogen Species:
Homo sapiens (Human)
Uniprot No:
Q6ZMJ2
Form:
Liquid
Tested Applications:
ELISAIHCIF
Recommended Dilution:
Application
Recommended Dilution
IHC
1:200-1:500
IF
1:50-1:200
Synonyms:
FLJ23907 antibody, MGC45780 antibody, NET33 antibody, SCAR5_HUMAN antibody, SCARA 5 antibody, scara5 antibody, Scavenger receptor class A member 5 antibody, Scavenger receptor class A, member 5 (putative) antibody, Scavenger receptor class A, member 5 antibody, Scavenger receptor hlg antibody, Tesr antibody, Testis expressed scavenger receptor antibody
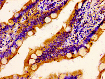
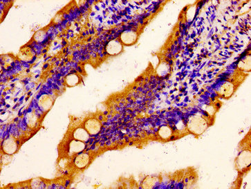
IHC image of PACO55766 diluted at 1:400 and staining in paraffin-embedded human small intestine tissue performed on a Leica BondTM system. After dewaxing and hydration, antigen retrieval was mediated by high pressure in a citrate buffer (pH 6.0). Section was blocked with 10% normal goat serum 30min at RT. Then primary antibody (1% BSA) was incubated at 4°C overnight. The primary is detected by a biotinylated secondary antibody and visualized using an HRP conjugated SP system.
Immunofluorescence staining of HepG2 cells with PACO55766 at 1:133, counter-stained with DAPI. The cells were fixed in 4% formaldehyde, permeabilized using 0.2% Triton X-100 and blocked in 10% normal Goat Serum. The cells were then incubated with the antibody overnight at 4°C. The secondary antibody was Alexa Fluor 488-congugated AffiniPure Goat Anti-Rabbit IgG(H+L).