The SDHB Polyclonal Antibody (CAB22020) is a high-quality antibody developed for reliable detection and analysis of target proteins. This antibody, produced in rabbits, exhibits high reactivity with human samples and is validated for use in Western blot applications. By binding specifically to the SDHB protein, researchers can accurately detect and analyze SDHB expression in a variety of cell types.SDHB is a key subunit of the succinate dehydrogenase (SDH) enzyme complex, playing a crucial role in the electron transport chain and oxidative phosphorylation.
This antibody is validated for use in WB, IHC-P, ELISA applications and has demonstrated reactivity against Human, Mouse, Rat samples.
Product Name:
SDHB Polyclonal Antibody
SKU:
CAB22020
Size:
20μL, 100μL
Reactivity:
Human, Mouse, Rat
Conjugate:
Unconjugated
Immunogen:
Recombinant protein (or fragment).This information is considered to be commercially sensitive.
This tumor suppressor gene encodes the iron-sulfur protein subunit of the succinate dehydrogenase (SDH) enzyme complex which plays a critical role in mitochondria. The SDH enzyme complex is composed of four nuclear-encoded subunits. This enzyme complex converts succinate to fumarate which releases electrons as part of the citric acid cycle, and the enzyme complex additionally provides an attachment site for released electrons to be transferred to the oxidative phosphorylation pathway. The SDH enzyme complex plays a role in oxygen-related gene regulation through its conversion of succinate, which is an oxygen sensor that stabilizes the hypoxia-inducible factor 1 (HIF1) transcription factor. Sporadic and familial mutations in this gene result in paragangliomas, pheochromocytoma, and gastrointestinal stromal tumors, supporting a link between mitochondrial dysfunction and tumorigenesis. Mutations in this gene are also implicated in nuclear type 4 mitochondrial complex II deficiency.
Purification Method
Affinity purification
Gene ID
6390
Buffer Information
Store at -20℃. Avoid freeze / thaw cycles. Buffer: PBS containing 50% glycerol, preserved with proclin300 or sodium azide, pH 7.3.
Western blot analysis of various lysates using SDHB Rabbit pAb (CAB22020) at 1:400 dilution. Secondary antibody: HRP-conjugated Goat anti-Rabbit IgG (H+L) (CABS014) at 1:10000 dilution. Lysates/proteins: 25μg per lane. Blocking buffer: 3% nonfat dry milk in TBST. Detection: ECL Basic Kit (AbGn00020). Exposure time: 0.5s.
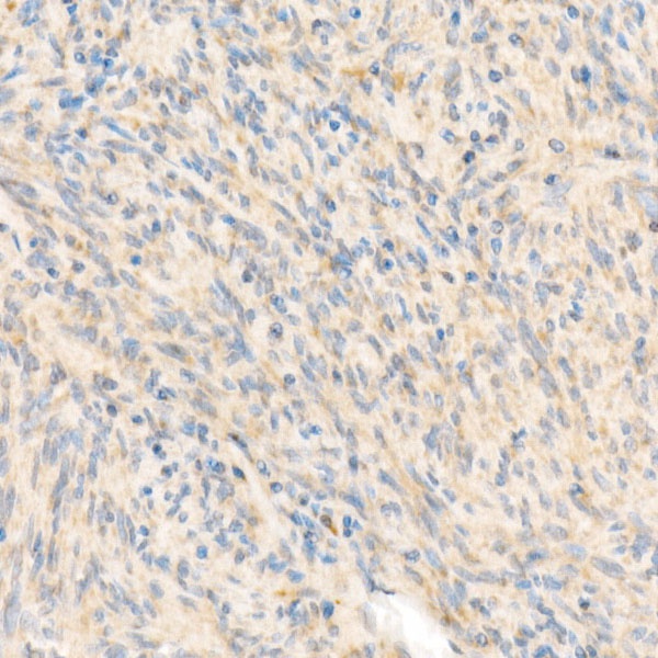
Immunohistochemistry analysis of paraffin-embedded Human gastrointestinal stromal tumor using SDHB Rabbit pAb (CAB22020) at dilution of 1:50 (40x lens). High pressure antigen retrieval performed with 0.01M Tris/EDTA Buffer (pH 9.0) prior to IHC staining.