The SEC14L2 Antibody (CAB10586) is a high-quality antibody developed for reliable detection and analysis of target proteins. This antibody, produced in rabbits, exhibits high specificity for human samples and has been validated for use in Western blot applications. By binding to the SEC14L2 protein, this antibody enables precise detection and analysis in a variety of cell types, making it an ideal choice for investigations in the fields of lipid biology and cell biology.SEC14L2 is known to play a crucial role in the maintenance of lipid homeostasis and the regulation of intracellular membrane trafficking processes.
This antibody is validated for use in WB, IHC-P, IF/ICC, ELISA applications and has demonstrated reactivity against Human, Mouse, Rat samples.
Product Name:
SEC14L2 Antibody
SKU:
CAB10586
Size:
20μL, 100μL
Reactivity:
Human, Mouse, Rat
Conjugate:
Unconjugated
Immunogen:
Recombinant protein (or fragment).This information is considered to be commercially sensitive.
Recommended starting concentration is 1 μg/mL. Please optimize the concentration based on your specific assay requirements.
Synonyms:
SPF, TAP, TAP1, C22orf6, SEC14L2
Positive Sample:
Mouse brain, Mouse liver, Mouse lung, Rat liver
Cellular Localization:
Cytoplasm, Nucleus.
Calculated MW:
46kDa
Observed MW:
46kDa
This gene encodes a cytosolic protein which belongs to a family of lipid-binding proteins including Sec14p, alpha-tocopherol transfer protein, and cellular retinol-binding protein. The encoded protein stimulates squalene monooxygenase which is a downstream enzyme in the cholesterol biosynthetic pathway. Alternatively spliced transcript variants encoding different isoforms have been identified for this gene.
Purification Method
Affinity purification
Gene ID
23541
RRID
AB_2758127
Buffer Information
Store at -20℃. Avoid freeze / thaw cycles. Buffer: PBS containing 50% glycerol, preserved with proclin300 or sodium azide, pH 7.3.
Western blot analysis of various lysates using SEC14L2 Rabbit pAb (CAB10586) at 1:1000 dilution. Secondary antibody: HRP-conjugated Goat anti-Rabbit IgG (H+L) (CABS014) at 1:10000 dilution. Lysates/proteins: 25μg per lane. Blocking buffer: 3% nonfat dry milk in TBST. Detection: ECL Basic Kit (AbGn00020). Exposure time: 10s.
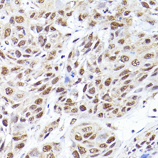
Immunohistochemistry analysis of paraffin-embedded Human esophageal cancer using SEC14L2 Rabbit pAb (CAB10586) at dilution of 1:200 (40x lens). High pressure antigen retrieval performed with 0.01M Citrate buffer (pH 6.0) prior to IHC staining.
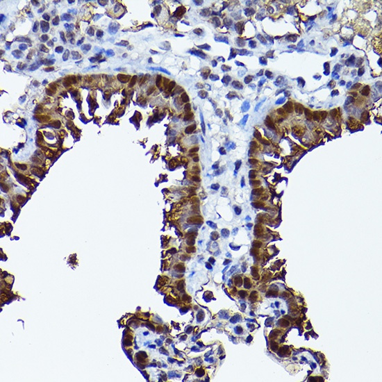
Immunohistochemistry analysis of paraffin-embedded Rat lung using SEC14L2 Rabbit pAb (CAB10586) at dilution of 1:200 (40x lens). High pressure antigen retrieval performed with 0.01M Citrate buffer (pH 6.0) prior to IHC staining.
Immunofluorescence analysis of U-2 OS cells using SEC14L2 Rabbit pAb (CAB10586) at dilution of 1:100 (40x lens). Secondary antibody: Cy3-conjugated Goat anti-Rabbit IgG (H+L) (CABS007) at 1:500 dilution. Blue: DAPI for nuclear staining.