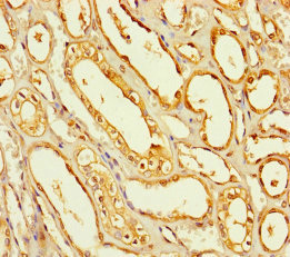
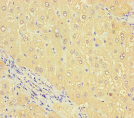
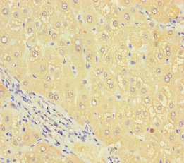
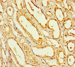
SEC14L4 Antibody is a premium polyclonal that offers outstanding performance and reliability for demanding research applications. Rigorously validated for ELISA, IHC, this antibody ensures consistent, reproducible results across multiple experimental platforms. Demonstrates excellent reactivity with Human samples, providing researchers with confidence in cross-species compatibility. Conveniently packaged in 50ug format to meet your experimental needs. For optimal performance, store at -20°C or -80°C and maintains stability for 12 months. Backed by rigorous quality control testing to ensure superior performance in your critical research applications.
Product Name:
SEC14L4 Antibody
SKU:
PACO41774
Size:
50μg
Isotype:
IgG
Host Species:
Rabbit
Reactivity:
Human
Immunogen:
Recombinant Human SEC14-like protein 4 protein (201-360AA)
Immunogen Species:
Homo sapiens (Human)
Uniprot No:
Q9UDX3
Form:
Liquid
Tested Applications:
ELISAIHC
Recommended Dilution:
Application
Recommended Dilution
IHC
1:20-1:200
Synonyms:
AI256582 antibody, AW536553 antibody, dJ130H16 antibody, MGC30313 antibody, RGD1565810 antibody, S14L4_HUMAN antibody, SEC14, S. cerevisiae, homolog of, 4 antibody, SEC14-like 4 (S. cerevisiae) antibody, SEC14-like 4 antibody, SEC14-like protein 4 antibody, Sec14l4 antibody, SEC14p-like protein TAP3 antibody, SPF antibody, TAP antibody, TAP3 antibody, Tocopherol-associated protein 3 antibody