The Sec23A Antibody (CAB12101) is a high-quality antibody developed for reliable detection and analysis of target proteins. This antibody, produced in rabbits, exhibits high reactivity with human samples and is validated for use in Western blot applications. By specifically binding to SEC23A, researchers can accurately detect and analyze the protein in various cell types, making it an essential component for studies in cell biology and protein trafficking.SEC23A plays a critical role in maintaining cellular function by ensuring the proper sorting and delivery of cargo proteins to their designated locations within the cell.
This antibody is validated for use in WB, ELISA applications and has demonstrated reactivity against Human, Mouse, Rat samples.
Product Name:
Sec23A Antibody
SKU:
CAB12101
Size:
20μL, 100μL
Reactivity:
Human, Mouse, Rat
Conjugate:
Unconjugated
Immunogen:
Recombinant protein (or fragment).This information is considered to be commercially sensitive.
The protein encoded by this gene is a member of the SEC23 subfamily of the SEC23/SEC24 family. It is part of a protein complex and found in the ribosome-free transitional face of the endoplasmic reticulum (ER) and associated vesicles. This protein has similarity to yeast Sec23p component of COPII. COPII is the coat protein complex responsible for vesicle budding from the ER. The encoded protein is suggested to play a role in the ER-Golgi protein trafficking.
Purification Method
Affinity purification
Gene ID
10484
RRID
AB_2758996
Buffer Information
Store at -20℃. Avoid freeze / thaw cycles. Buffer: PBS with 0.01% thimerosal,50% glycerol,pH7.3.
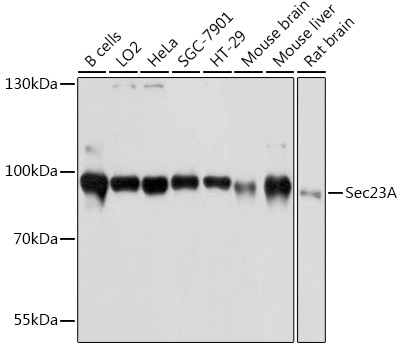
Western blot analysis of various lysates using Sec23A Rabbit pAb (CAB12101) at 1:3000 dilution. Secondary antibody: HRP-conjugated Goat anti-Rabbit IgG (H+L) (CABS014) at 1:10000 dilution. Lysates/proteins: 25μg per lane. Blocking buffer: 3% nonfat dry milk in TBST. Detection: ECL Basic Kit (AbGn00020). Exposure time: 10s.