The CD62P/P-selectin Antibody (CAB1425) is a high-quality antibody developed for reliable detection and analysis of target proteins. P-selectin is a cell adhesion molecule involved in inflammatory responses and the recruitment of immune cells to sites of injury or infection. This antibody, produced in rabbits, is highly specific to human SELP and has been validated for use in Western blot applications.By binding to the SELP protein, this antibody enables the detection and analysis of SELP expression in various cell types, making it ideal for studies related to inflammation, immune response, and vascular biology.
This antibody is validated for use in WB, IHC-P, ELISA applications and has demonstrated reactivity against Human, Rat samples.
Product Name:
CD62P/P-selectin Antibody
SKU:
CAB1425
Size:
20μL, 100μL
Reactivity:
Human, Rat
Conjugate:
Unconjugated
Immunogen:
Recombinant protein (or fragment).This information is considered to be commercially sensitive.
This gene encodes a 140 kDa protein that is stored in the alpha-granules of platelets and Weibel-Palade bodies of endothelial cells. This protein redistributes to the plasma membrane during platelet activation and degranulation and mediates the interaction of activated endothelial cells or platelets with leukocytes. The membrane protein is a calcium-dependent receptor that binds to sialylated forms of Lewis blood group carbohydrate antigens on neutrophils and monocytes. Alternative splice variants may occur but are not well documented.
Purification Method
Affinity purification
Gene ID
6403
RRID
AB_2761110
Buffer Information
Store at -20℃. Avoid freeze / thaw cycles. Buffer: PBS containing 50% glycerol, preserved with proclin300 or sodium azide, pH 7.3.
Western blot analysis of various lysates using CD62P/P-selectin Rabbit pAb (CAB1425) at 1:1000 dilution. Secondary antibody: HRP-conjugated Goat anti-Rabbit IgG (H+L) (CABS014) at 1:10000 dilution. Lysates/proteins: 25μg per lane. Blocking buffer: 3% nonfat dry milk in TBST. Detection: ECL Enhanced Kit (AbGn00021). Exposure time: 10s.
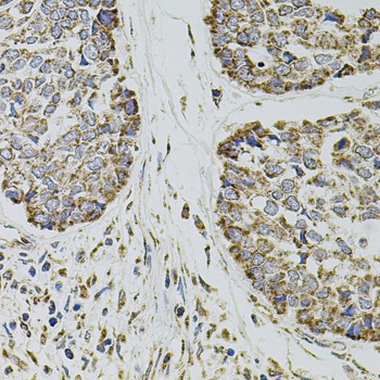
Immunohistochemistry analysis of paraffin-embedded Human prostate using CD62P/P-selectin Rabbit pAb (CAB1425) at dilution of 1:100 (40x lens). Microwave antigen retrieval performed with 0.01M PBS Buffer (pH 7.2) prior to IHC staining.
Immunohistochemistry analysis of paraffin-embedded Human stomach using CD62P/P-selectin Rabbit pAb (CAB1425) at dilution of 1:100 (40x lens). Microwave antigen retrieval performed with 0.01M PBS Buffer (pH 7.2) prior to IHC staining.
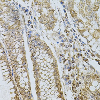
Immunohistochemistry analysis of paraffin-embedded Human stomach using CD62P/P-selectin Rabbit pAb (CAB1425) at dilution of 1:100 (40x lens). Microwave antigen retrieval performed with 0.01M PBS Buffer (pH 7.2) prior to IHC staining.