The SFPQ Antibody (CAB0958) is a high-quality antibody developed for reliable detection and analysis of target proteins. This antibody, generated in rabbits, exhibits high reactivity with human samples and has been validated for use in Western blot applications. By binding specifically to the SFPQ protein, this antibody enables precise detection and analysis in a variety of cell types, making it an essential reagent for studies in molecular biology and gene expression research.SFPQ, also known as splicing factor proline/glutamine-rich, is a multifunctional protein involved in various cellular processes, including RNA splicing and transcriptional regulation.
This antibody is validated for use in WB, IHC-P, IF/ICC, IP, ELISA applications and has demonstrated reactivity against Human, Mouse, Rat samples.
Product Name:
SFPQ Antibody
SKU:
CAB0958
Size:
20μL, 100μL
Reactivity:
Human, Mouse, Rat
Conjugate:
Unconjugated
Immunogen:
Recombinant protein (or fragment).This information is considered to be commercially sensitive.
Enables DNA binding activity; histone deacetylase binding activity; and protein homodimerization activity. Involved in several processes, including alternative mRNA splicing, via spliceosome; positive regulation of oxidative stress-induced intrinsic apoptotic signaling pathway; and regulation of transcription by RNA polymerase II. Acts upstream of or within double-strand break repair via homologous recombination. Located in chromatin; nuclear matrix; and paraspeckles.
Purification Method
Affinity purification
Gene ID
6421
RRID
AB_2757481
Buffer Information
Store at -20℃. Avoid freeze / thaw cycles. Buffer: PBS containing 50% glycerol, preserved with proclin300 or sodium azide, pH 7.3.
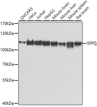
Western blot analysis of various lysates using SFPQ Rabbit pAb (CAB0958) at 1:1000 dilution. Secondary antibody: HRP-conjugated Goat anti-Rabbit IgG (H+L) (CABS014) at 1:10000 dilution. Lysates/proteins: 25μg per lane. Blocking buffer: 3% nonfat dry milk in TBST. Detection: ECL Basic Kit (AbGn00020). Exposure time: 1s.
Immunohistochemistry analysis of paraffin-embedded Human esophageal using SFPQ Rabbit pAb (CAB0958) at dilution of 1:20 (40x lens). High pressure antigen retrieval performed with 0.01M Citrate buffer (pH 6.0) prior to IHC staining.
Immunofluorescence analysis of HeLa cells using SFPQ Rabbit pAb (CAB0958) at dilution of 1:100 (40x lens). Secondary antibody: Cy3-conjugated Goat anti-Rabbit IgG (H+L) (CABS007) at 1:500 dilution. Blue: DAPI for nuclear staining.
Immunoprecipitation analysis of 300 μg extracts of HeLa cells using 3 μg SFPQ antibody (CAB0958). Western blot was performed from the immunoprecipitate using SFPQ antibody (CAB0958) at a dilution of 1:1000.