SHISA5 Antibody is a premium polyclonal that offers outstanding performance and reliability for demanding research applications. Rigorously validated for ELISA, IHC, IF, IP, this antibody ensures consistent, reproducible results across multiple experimental platforms. Demonstrates excellent reactivity with Human samples, providing researchers with confidence in cross-species compatibility. Conveniently packaged in 50ug format to meet your experimental needs. For optimal performance, store at -20°C or -80°C and maintains stability for 12 months. Backed by rigorous quality control testing to ensure superior performance in your critical research applications.
Product Name:
SHISA5 Antibody
SKU:
PACO37914
Size:
50μg
Isotype:
IgG
Host Species:
Rabbit
Reactivity:
Human
Immunogen:
Recombinant Human Protein shisa-5 protein (56-137AA)
Immunogen Species:
Homo sapiens (Human)
Uniprot No:
Q8N114
Form:
Liquid
Tested Applications:
ELISAIHCIFIP
Recommended Dilution:
Application
Recommended Dilution
IHC
1:20-1:200
IF
1:50-1:500
IP
1:200-1:2000
Synonyms:
SHISA5 antibody, SCOTIN antibody, PSEC0133 antibody, Protein shisa-5 antibody, Putative NF-kappa-B-activating protein 120 antibody, Scotin antibody
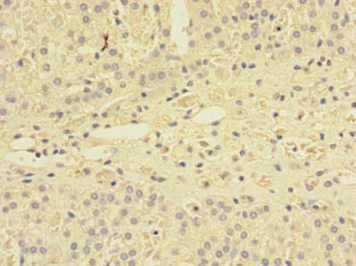
Immunohistochemistry of paraffin-embedded human adrenal gland tissue using PACO37914 at dilution of 1:100
Immunofluorescence staining of A549 cells with PACO37914 at 1:200, counter-stained with DAPI. The cells were fixed in 4% formaldehyde, permeabilized using 0.2% Triton X-100 and blocked in 10% normal Goat Serum. The cells were then incubated with the antibody overnight at 4°C. The secondary antibody was Alexa Fluor 488-congugated AffiniPure Goat Anti-Rabbit IgG(H+L).
Immunoprecipitating SHISA5 in HepG2 whole cell lysate Lane 1: Rabbit control IgG (1µg) instead of PACO37914 in HepG2 whole cell lysate. For western blotting, a HRP-conjugated Protein G antibody was used as the secondary antibody (1/2000) Lane 2: PACO37914 (6µg) + HepG2 whole cell lysate (500µg) Lane 3: HepG2 whole cell lysate (10µg)