The SIRT5 Monoclonal Antibody (CAB23083) is a high-quality antibody developed for reliable detection and analysis of target proteins. This antibody, produced using monoclonal antibody technology, is highly specific and sensitive for detecting SIRT5 in human samples. It has been validated for use in various applications, including immunofluorescence and immunohistochemistry.
This antibody is validated for use in WB, ELISA applications and has demonstrated reactivity against Human, Mouse, Rat samples.
Product Name:
SIRT5 Monoclonal Antibody
SKU:
CAB23083
Size:
20μL, 100μL
Reactivity:
Human, Mouse, Rat
Clone Number:
ARC59763
Conjugate:
Unconjugated
Immunogen:
Recombinant protein (or fragment).This information is considered to be commercially sensitive.
This gene encodes a member of the sirtuin family of proteins, homologs to the yeast Sir2 protein. Members of the sirtuin family are characterized by a sirtuin core domain and grouped into four classes. The functions of human sirtuins have not yet been determined; however, yeast sirtuin proteins are known to regulate epigenetic gene silencing and suppress recombination of rDNA. Studies suggest that the human sirtuins may function as intracellular regulatory proteins with mono-ADP-ribosyltransferase activity. The protein encoded by this gene is included in class III of the sirtuin family. Alternative splicing of this gene results in multiple transcript variants.
Purification Method
Affinity purification
Gene ID
23408
RRID
AB_3674130
Buffer Information
Store at -20℃. Avoid freeze / thaw cycles. Buffer: PBS containing 50% glycerol and 0.05% BSA, preserved with proclin300 or sodium azide, pH 7.3.
Western blot analysis of various lysates, using SIRT5 Rabbit mAb (CAB23083) at 1:3000 dilution incubated overnight at 4℃. Secondary antibody: HRP-conjugated Goat anti-Rabbit IgG (H+L) (CABS014) at 1:10000 dilution. Lysates/proteins: 25μg per lane. Blocking buffer: 3% nonfat dry milk in TBST. Detection: ECL Basic Kit (AbGn00020). Exposure time: 30s.
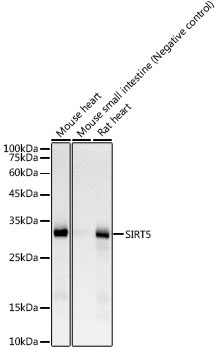
Western blot analysis of various lysates, using SIRT5 Rabbit mAb (CAB23083) at 1:3000 dilution incubated overnight at 4℃. Secondary antibody: HRP-conjugated Goat anti-Rabbit IgG (H+L) (CABS014) at 1:10000 dilution. Lysates/proteins: 25μg per lane. Blocking buffer: 3% nonfat dry milk in TBST. Detection: ECL Basic Kit (AbGn00020). Negative control (NC): Mouse small intestine. Exposure time: 10s.