The SLC15A4 Polyclonal Antibody (PAC059297) is a valuable tool for researchers studying the SLC15A4 protein, a crucial player in immune responses and inflammation. This antibody, produced in rabbits, has been validated for its high reactivity with human samples and is suitable for use in Western blot applications. By specifically binding to the SLC15A4 protein, this antibody enables accurate detection and analysis in a variety of cell types, making it an essential component for studies in immunology and related fields.
SLC15A4, also known as the solute carrier family 15 member 4, is involved in the transport of peptides across membranes and functions in the regulation of immune responses. Its role in modulating inflammatory processes highlights its potential relevance in diseases such as autoimmune disorders, cancer, and chronic inflammatory conditions. By gaining insight into the function of SLC15A4, researchers can identify potential therapeutic targets for the development of treatments that target immune response dysregulation.
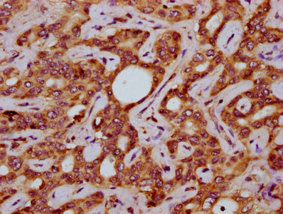
IHC image of PACO59297 diluted at 1:200 and staining in paraffin-embedded human liver cancer performed on a Leica BondTM system. After dewaxing and hydration, antigen retrieval was mediated by high pressure in a citrate buffer (pH 6.0). Section was blocked with 10% normal goat serum 30min at RT. Then primary antibody (1% BSA) was incubated at 4°C overnight. The primary is detected by a biotinylated secondary antibody and visualized using an HRP conjugated SP system.
Immunofluorescence staining of HepG2 cells with PACO59297 at 1:66, counter-stained with DAPI. The cells were fixed in 4% formaldehyde, permeabilized using 0.2% Triton X-100 and blocked in 10% normal Goat Serum. The cells were then incubated with the antibody overnight at 4°C. The secondary antibody was Alexa Fluor 488-congugated AffiniPure Goat Anti-Rabbit IgG(H+L).
IHC image of PACO59297 diluted at 1:200 and staining in paraffin-embedded human skeletal muscle tissue performed on a Leica BondTM system. After dewaxing and hydration, antigen retrieval was mediated by high pressure in a citrate buffer (pH 6.0). Section was blocked with 10% normal goat serum 30min at RT. Then primary antibody (1% BSA) was incubated at 4°C overnight. The primary is detected by a biotinylated secondary antibody and visualized using an HRP conjugated SP system.
Background:
Proton oligopeptide cotransporter. Transports free histidine and certain di- and tripeptides.
Synonyms:
Solute carrier family 15 member 4 (Peptide transporter 4) (Peptide/histidine transporter 1) (hPHT1), SLC15A4, PHT1 PTR4