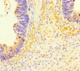
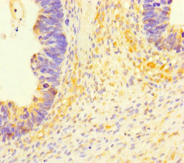
SLC35D2 Antibody is a premium polyclonal that offers outstanding performance and reliability for demanding research applications. Rigorously validated for ELISA, IHC, this antibody ensures consistent, reproducible results across multiple experimental platforms. Demonstrates excellent reactivity with Human samples, providing researchers with confidence in cross-species compatibility. Conveniently packaged in 50ug format to meet your experimental needs. For optimal performance, store at -20°C or -80°C and maintains stability for 12 months. Backed by rigorous quality control testing to ensure superior performance in your critical research applications.
Product Name:
SLC35D2 Antibody
SKU:
PACO37194
Size:
50μg
Isotype:
IgG
Host Species:
Rabbit
Reactivity:
Human
Immunogen:
Recombinant Human UDP-N-acetylglucosamine/UDP-glucose/GDP-mannose transporter protein (75-146AA)
Immunogen Species:
Homo sapiens (Human)
Uniprot No:
Q76EJ3
Form:
Liquid
Tested Applications:
ELISAIHC
Recommended Dilution:
Application
Recommended Dilution
IHC
1:20-1:200
Synonyms:
Fringe connection antibody, HFRC 1 antibody, Hfrc antibody, HFRC1 antibody, Homolog of Fringe connection protein 1 antibody, MGC117215 antibody, MGC142139 antibody, Nucleotide sugar transporter UGTrel8 antibody, S35D2_HUMAN antibody, SLC35D2 antibody, Solute carrier family 35 member D2 antibody, SQV 7L antibody, SQV7-like protein antibody, SQV7L antibody, UDP N acetylglucosamine transporter antibody, UDP-galactose transporter-related protein 8 antibody, UDP-N-acetylglucosamine/UDP-glucose/GDP-mannose transporter antibody, UGTrel 8 antibody, UGTrel8 antibody