SLC35F5 Antibody is a premium polyclonal that offers outstanding performance and reliability for demanding research applications. Rigorously validated for ELISA, WB, IHC, IF, this antibody ensures consistent, reproducible results across multiple experimental platforms. Demonstrates excellent reactivity with Human samples, providing researchers with confidence in cross-species compatibility. Conveniently packaged in 50ug format to meet your experimental needs. For optimal performance, store at -20°C or -80°C and maintains stability for 12 months. Backed by rigorous quality control testing to ensure superior performance in your critical research applications.
Product Name:
SLC35F5 Antibody
SKU:
PACO38862
Size:
50μg
Isotype:
IgG
Host Species:
Rabbit
Reactivity:
Human
Immunogen:
Recombinant Human Solute carrier family 35 member F5 protein (122-242AA)
Immunogen Species:
Homo sapiens (Human)
Uniprot No:
Q8WV83
Form:
Liquid
Tested Applications:
ELISAWBIHCIF
Recommended Dilution:
Application
Recommended Dilution
WB
1:500-1:2000
IHC
1:20-1:200
IF
1:50-1:200
Synonyms:
FLJ22004 antibody, HCV NS5A transactivated protein 3 antibody, HCV NS5A-transactivated protein 3 antibody, Hepatitis C virus NS5A transactivated protein 3 antibody, Hepatitis C virus NS5A-transactivated protein 3 antibody, NS5ATP3 antibody, S35F5_HUMAN antibody, SLC35F5 antibody, Solute carrier family 35 member F5 antibody
Western blot All lanes: SLC35F5 antibody at 6µg/ml + Hela whole cell lysate Secondary Goat polyclonal to rabbit IgG at 1/10000 dilution Predicted band size: 59, 28 kDa Observed band size: 59 kDa
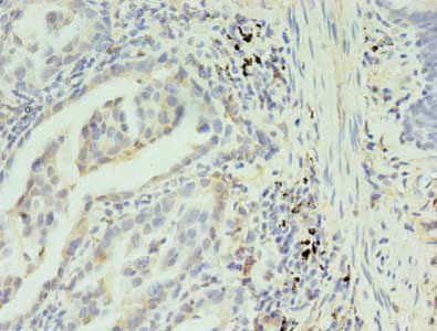
Immunohistochemistry of paraffin-embedded human lung cancer using PACO38862 at dilution of 1:100
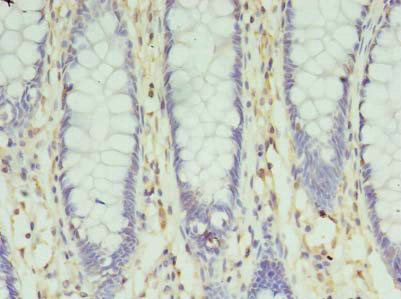
Immunohistochemistry of paraffin-embedded human colon cancer using PACO38862 at dilution of 1:100
Immunofluorescent analysis of Hela cells using PACO38862 at dilution of 1:100 and Alexa Fluor 488-congugated AffiniPure Goat Anti-Rabbit IgG(H+L)