SLC46A3 Antibody is a premium polyclonal that offers outstanding performance and reliability for demanding research applications. Rigorously validated for ELISA, WB, IHC, IF, this antibody ensures consistent, reproducible results across multiple experimental platforms. Demonstrates excellent reactivity with Human samples, providing researchers with confidence in cross-species compatibility. Conveniently packaged in 50ug format to meet your experimental needs. For optimal performance, store at -20°C or -80°C and maintains stability for 12 months. Backed by rigorous quality control testing to ensure superior performance in your critical research applications.
Product Name:
SLC46A3 Antibody
SKU:
PACO37446
Size:
50μg
Isotype:
IgG
Host Species:
Rabbit
Reactivity:
Human
Immunogen:
Recombinant Human Solute carrier family 46 member 3 protein (26-73AA)
Immunogen Species:
Homo sapiens (Human)
Uniprot No:
Q7Z3Q1
Form:
Liquid
Tested Applications:
ELISAWBIHCIF
Recommended Dilution:
Application
Recommended Dilution
WB
1:500-1:2000
IHC
1:20-1:200
IF
1:50-1:200
Synonyms:
SLC46A3 antibody, FKSG16 antibody, Solute carrier family 46 member 3 antibody
Western blot All lanes: SLC46A3 antibody at 4µg/ml + Jurkat whole cell lysate Secondary Goat polyclonal to rabbit IgG at 1/10000 dilution Predicted band size: 52, 43 kDa Observed band size: 52 kDa
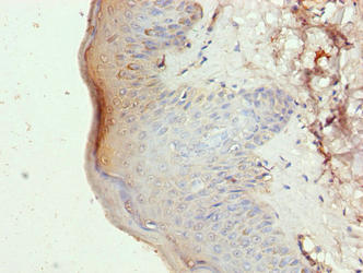
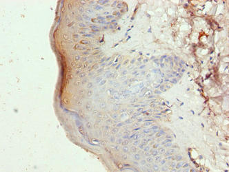
Immunohistochemistry of paraffin-embedded human skin tissue using PACO37446 at dilution of 1:100
Immunohistochemistry of paraffin-embedded human kidney tissue using PACO37446 at dilution of 1:100
Immunofluorescent analysis of HepG2 cells using PACO37446 at dilution of 1:100 and Alexa Fluor 488-congugated AffiniPure Goat Anti-Rabbit IgG(H+L)