The Dopamine Transporter/SLC6A3 Antibody (CAB15236) is a high-quality antibody developed for reliable detection and analysis of target proteins. This gene encodes a dopamine transporter which is a member of the sodium- and chloride-dependent neurotransmitter transporter family. The 3' UTR of this gene contains a 40 bp tandem repeat, referred to as a variable number tandem repeat or VNTR, which can be present in 3 to 11 copies. Variation in the number of repeats is associated with idiopathic epilepsy, attention-deficit hyperactivity disorder, dependence on alcohol and cocaine, susceptibility to Parkinson disease and protection against nicotine dependence.
This antibody is validated for use in WB, IHC-P, ELISA, IF-P applications and has demonstrated reactivity against Human, Mouse, Rat samples.
Product Name:
Dopamine Transporter/SLC6A3 Antibody
SKU:
CAB15236
Size:
100μL, 20μL
Reactivity:
Human, Mouse, Rat
Conjugate:
Unconjugated
Immunogen:
Synthetic peptide. This information is considered to be commercially sensitive.
Tested Applications:
WBIHC-PELISAIF-P
Recommended Dilution:
WB
1:500 - 1:1000
IF-P
1:50 - 1:200
IHC-P
1:50 - 1:200
ELISA
Recommended starting concentration is 1 μg/mL. Please optimize the concentration based on your specific assay requirements.
This gene encodes a dopamine transporter which is a member of the sodium- and chloride-dependent neurotransmitter transporter family. The 3' UTR of this gene contains a 40 bp tandem repeat, referred to as a variable number tandem repeat or VNTR, which can be present in 3 to 11 copies. Variation in the number of repeats is associated with idiopathic epilepsy, attention-deficit hyperactivity disorder, dependence on alcohol and cocaine, susceptibility to Parkinson disease and protection against nicotine dependence.
Purification Method
Affinity purification
Gene ID
6531
RRID
AB_2762131
Buffer Information
Store at -20℃. Avoid freeze / thaw cycles. Buffer: PBS containing 50% glycerol, preserved with proclin300 or sodium azide, pH 7.3.
Western blot analysis of lysates from Rat brain, using Dopamine Transporter/SLC6A3 Rabbit pAb (CAB15236) at 1:700 dilution. Secondary antibody: HRP-conjugated Goat anti-Rabbit IgG (H+L) (AS014) at 1:10000 dilution. Lysates/proteins: 25μg per lane. Blocking buffer: 3% nonfat dry milk in TBST. Detection: ECL Basic Kit (AbGn00020). Exposure time: 30s.
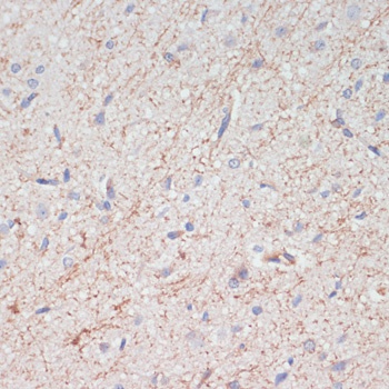
Immunohistochemistry analysis of paraffin-embedded Rat brain using Dopamine Transporter/SLC6A3 Rabbit pAb (CAB15236) at dilution of 1:200 (40x lens). Microwave antigen retrieval performed with 0.01M PBS Buffer (pH 7.2) prior to IHC staining.
Immunofluorescence analysis of paraffin-embedded mouse brain using Dopamine Transporter/SLC6A3 Rabbit pAb (CAB15236) at dilution of 1:100 (40x lens). Secondary antibody: Cy3-conjugated Goat anti-Rabbit IgG (H+L) (AS007) at 1:500 dilution. Blue: DAPI for nuclear staining.