The SNRNP70 Antibody (CAB6065) is a high-quality antibody developed for reliable detection and analysis of target proteins. Enables U1 snRNA binding activity. Involved in mRNA splicing, via spliceosome and regulation of RNA splicing. Located in nucleoplasm. Part of U1 snRNP and spliceosomal complex. Implicated in disease of mental health and systemic lupus erythematosus. Biomarker of Alzheimer's disease.
This antibody is validated for use in WB, IHC-P, ELISA applications and has demonstrated reactivity against Human, Mouse, Rat samples.
Product Name:
SNRNP70 Antibody
SKU:
CAB6065
Size:
100μL, 20μL
Reactivity:
Human, Mouse, Rat
Conjugate:
Unconjugated
Immunogen:
Synthetic peptide. This information is considered to be commercially sensitive.
Tested Applications:
WBIHC-PELISA
Recommended Dilution:
WB
1:500 - 1:5000
IHC-P
1:50 - 1:100
ELISA
Recommended starting concentration is 1 μg/mL. Please optimize the concentration based on your specific assay requirements.
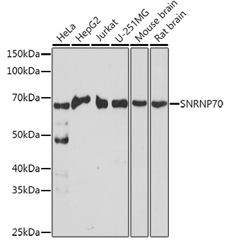
HeLa, Hep G2, Jurkat, U-251MG, Mouse brain, Rat brain
Cellular Localization:
Nucleus, Nucleus Speckle, Nucleoplasm.
Calculated MW:
52kDa
Observed MW:
68kDa
Enables U1 snRNA binding activity. Involved in mRNA splicing, via spliceosome and regulation of RNA splicing. Located in nucleoplasm. Part of U1 snRNP and spliceosomal complex. Implicated in disease of mental health and systemic lupus erythematosus. Biomarker of Alzheimer's disease.
Purification Method
Affinity purification
Gene ID
6625
RRID
AB_2766733
Buffer Information
Store at -20℃. Avoid freeze / thaw cycles. Buffer: PBS containing 50% glycerol, preserved with proclin300 or sodium azide, pH 7.3.
Western blot analysis of various lysates using SNRNP70 Rabbit pAb (CAB6065) at 1:1000 dilution. Secondary antibody: HRP-conjugated Goat anti-Rabbit IgG (H+L) (AS014) at 1:10000 dilution. Lysates/proteins: 25μg per lane. Blocking buffer: 3% nonfat dry milk in TBST. Detection: ECL Basic Kit (AbGn00020). Exposure time: 90s.
Immunohistochemistry analysis of paraffin-embedded Rat testis using SNRNP70 Rabbit pAb (CAB6065) at dilution of 1:100 (40x lens). Microwave antigen retrieval performed with 0.01M PBS Buffer (pH 7.2) prior to IHC staining.
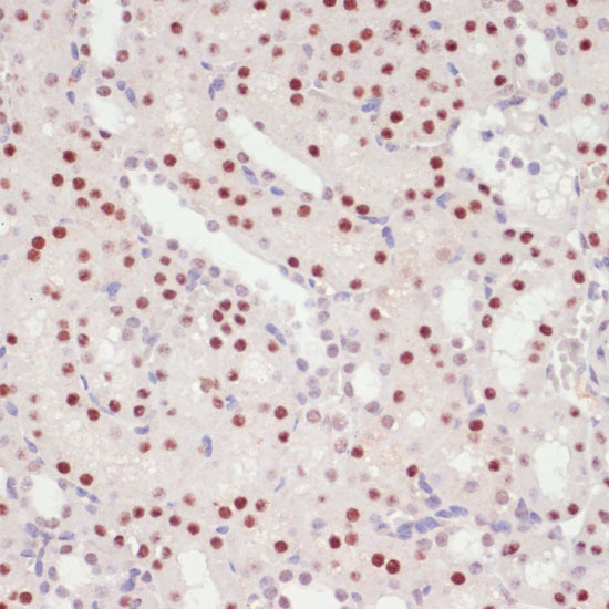
Immunohistochemistry analysis of paraffin-embedded Mouse kidney using SNRNP70 Rabbit pAb (CAB6065) at dilution of 1:100 (40x lens). Microwave antigen retrieval performed with 0.01M PBS Buffer (pH 7.2) prior to IHC staining.