The Somatostatin (SST) Antibody (CAB9274) is a high-quality antibody developed for reliable detection and analysis of target proteins. This antibody, raised in rabbits, is highly specific to somatostatin and has been validated for use in immunohistochemistry and Western blot applications.Somatostatin is known for its inhibitory effects on hormone secretion, cell proliferation, and neurotransmission. It plays a crucial role in the regulation of growth hormone, insulin, glucagon, and other hormones, making it a key player in endocrine function. The somatostatin antibody allows for the detection and analysis of somatostatin expression in different tissues and cell types, providing researchers with valuable insights into its role in health and disease.
This antibody is validated for use in WB, IHC-P, ELISA, IF-P applications and has demonstrated reactivity against Human, Mouse, Rat samples.
Product Name:
Somatostatin (SST) Antibody
SKU:
CAB9274
Size:
20μL, 100μL
Reactivity:
Human, Mouse, Rat
Conjugate:
Unconjugated
Immunogen:
Recombinant protein (or fragment).This information is considered to be commercially sensitive.
Recommended starting concentration is 1 μg/mL. Please optimize the concentration based on your specific assay requirements.
Synonyms:
SMST, SST1, Somatostatin (SST)
Positive Sample:
Rat brain
Cellular Localization:
Secreted.
Calculated MW:
13kDa
Observed MW:
13kDa
The hormone somatostatin has active 14 aa and 28 aa forms that are produced by alternate cleavage of the single preproprotein encoded by this gene. Somatostatin is expressed throughout the body and inhibits the release of numerous secondary hormones by binding to high-affinity G-protein-coupled somatostatin receptors. This hormone is an important regulator of the endocrine system through its interactions with pituitary growth hormone, thyroid stimulating hormone, and most hormones of the gastrointestinal tract. Somatostatin also affects rates of neurotransmission in the central nervous system and proliferation of both normal and tumorigenic cells.
Purification Method
Affinity purification
Gene ID
6750
RRID
AB_2772405
Buffer Information
Store at -20℃. Avoid freeze / thaw cycles. Buffer: PBS containing 50% glycerol, preserved with proclin300 or sodium azide, pH 7.3.
Western blot analysis of lysates from Rat brain, using Somatostatin (SST) Rabbit pAb (CAB9274) at 1:1000 dilution. Secondary antibody: HRP-conjugated Goat anti-Rabbit IgG (H+L) (CABS014) at 1:10000 dilution. Lysates/proteins: 25μg per lane. Blocking buffer: 3% nonfat dry milk in TBST. Detection: ECL Basic Kit (AbGn00020). Exposure time: 1s.
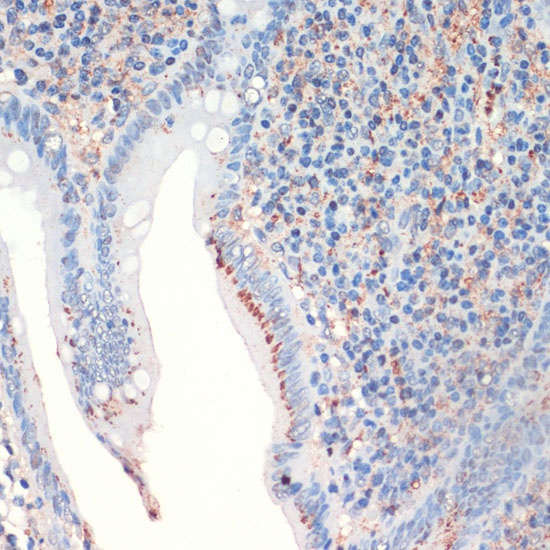
Immunohistochemistry analysis of paraffin-embedded Human appendix using Somatostatin (SST) Rabbit pAb (CAB9274) at dilution of 1:200 (40x lens). Microwave antigen retrieval performed with 0.01M PBS Buffer (pH 7.2) prior to IHC staining.
Immunofluorescence analysis of paraffin-embedded rat pancreas using Somatostatin (SST) Rabbit pAb (CAB9274) at dilution of 1:100 (40x lens). Secondary antibody: Cy3-conjugated Goat anti-Rabbit IgG (H+L) (CABS007) at 1:500 dilution. Blue: DAPI for nuclear staining.
Immunofluorescence analysis of paraffin-embedded mouse pancreas using Somatostatin (SST) Rabbit pAb (CAB9274) at dilution of 1:100 (40x lens). Secondary antibody: Cy3-conjugated Goat anti-Rabbit IgG (H+L) (CABS007) at 1:500 dilution. Blue: DAPI for nuclear staining.