The SNX3 Antibody (CAB7502) is a high-quality antibody developed for reliable detection and analysis of target proteins. This antibody, produced in rabbits, is highly specific for human samples and has been validated for use in Western blot applications.Sorting Nexin 3 is involved in the regulation of endosomal sorting and vesicle trafficking pathways, making it a key player in various cellular processes such as receptor recycling and degradation. By targeting the Sorting Nexin 3 protein, researchers can gain insights into the mechanisms underlying these processes and their impact on cell function.
This antibody is validated for use in WB, ELISA applications and has demonstrated reactivity against Human, Mouse, Rat samples.
Product Name:
SNX3 Antibody
SKU:
CAB7502
Size:
20μL, 100μL
Reactivity:
Human, Mouse, Rat
Conjugate:
Unconjugated
Immunogen:
Recombinant protein (or fragment).This information is considered to be commercially sensitive.
Recommended starting concentration is 1 μg/mL. Please optimize the concentration based on your specific assay requirements.
Synonyms:
SDP3, Grd19, MCOPS8, SNX3
Positive Sample:
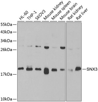
HL-60, THP-1, SKOV3, Mouse kidney, Mouse spleen, Mouse brain, Rat kidney, Rat liver
Cellular Localization:
Cytoplasmic Vesicle, Early Endosome, Phagosome.
Calculated MW:
19kDa
Observed MW:
19kDa
This gene encodes a member of the sorting nexin family. Members of this family contain a phox (PX) domain, which is a phosphoinositide binding domain, and are involved in intracellular trafficking. This protein does not contain a coiled coil region, like most family members. This protein interacts with phosphatidylinositol-3-phosphate, and is involved in protein trafficking. A pseudogene of this gene is present on the sex chromosomes. Alternative splicing results in multiple transcript variants encoding distinct isoforms.
Purification Method
Affinity purification
Gene ID
8724
RRID
AB_2768033
Buffer Information
Store at -20℃. Avoid freeze / thaw cycles. Buffer: PBS containing 50% glycerol, preserved with proclin300 or sodium azide, pH 7.3.
Western blot analysis of various lysates using SNX3 Rabbit pAb (CAB7502) at 1:1000 dilution. Secondary antibody: HRP-conjugated Goat anti-Rabbit IgG (H+L) (CABS014) at 1:10000 dilution. Lysates/proteins: 25μg per lane. Blocking buffer: 3% nonfat dry milk in TBST. Detection: ECL Enhanced Kit (AbGn00021). Exposure time: 90s.
Western blot analysis of various lysates using SNX3 Rabbit pAb (CAB7502) at 1:1000 dilution. Secondary antibody: HRP-conjugated Goat anti-Rabbit IgG (H+L) (CABS014) at 1:10000 dilution. Lysates/proteins: 25μg per lane. Blocking buffer: 3% nonfat dry milk in TBST. Detection: ECL Basic Kit (AbGn00020). Exposure time: 90s.