The SOX5 Antibody (CAB6985) is a high-quality antibody developed for reliable detection and analysis of target proteins. This antibody, generated in rabbits, exhibits high specificity and sensitivity for detecting SOX5 in human samples, making it ideal for applications such as Western blotting and immunohistochemistry.SOX5, part of the SOX (SRY-related HMG box) family of transcription factors, is known to play a critical role in regulating gene expression and cell fate determination.
This antibody is validated for use in WB, IHC-P, IF/ICC, ELISA applications and has demonstrated reactivity against Human, Mouse, Rat samples.
Product Name:
SOX5 Antibody
SKU:
CAB6985
Size:
20μL, 100μL
Reactivity:
Human, Mouse, Rat
Conjugate:
Unconjugated
Immunogen:
Synthetic peptide. This information is considered to be commercially sensitive.
Recommended starting concentration is 1 μg/mL. Please optimize the concentration based on your specific assay requirements.
Synonyms:
L-SOX5, LAMSHF, L-SOX5B, L-SOX5F, SOX5
Positive Sample:
Mouse brain
Cellular Localization:
Nucleus.
Calculated MW:
84kDa
Observed MW:
84kDa
This gene encodes a member of the SOX (SRY-related HMG-box) family of transcription factors involved in the regulation of embryonic development and in the determination of the cell fate. The encoded protein may act as a transcriptional regulator after forming a protein complex with other proteins. The encoded protein may play a role in chondrogenesis. A pseudogene of this gene is located on chromosome 8. Multiple transcript variants encoding distinct isoforms have been identified for this gene.
Purification Method
Affinity purification
Gene ID
6660
RRID
AB_2767541
Buffer Information
Store at -20℃. Avoid freeze / thaw cycles. Buffer: PBS containing 50% glycerol, preserved with proclin300 or sodium azide, pH 7.3.
Western blot analysis of lysates from Mouse brain, using SOX5 Rabbit pAb (CAB6985) at 1:2000 dilution. Secondary antibody: HRP-conjugated Goat anti-Rabbit IgG (H+L) (CABS014) at 1:10000 dilution. Lysates/proteins: 25μg per lane. Blocking buffer: 3% nonfat dry milk in TBST. Detection: ECL Basic Kit (AbGn00020). Exposure time: 180s.
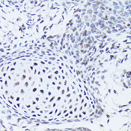
Immunohistochemistry analysis of paraffin-embedded Mouse embryos using SOX5 Rabbit pAb (CAB6985) at dilution of 1:50 (40x lens). High pressure antigen retrieval performed with 0.01M Citrate buffer (pH 6.0) prior to IHC staining.