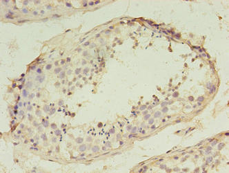
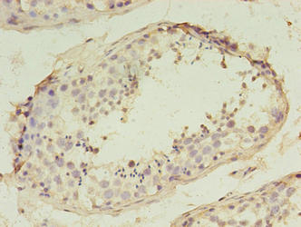
SPANXD Antibody is a premium polyclonal that offers outstanding performance and reliability for demanding research applications. Rigorously validated for ELISA, IHC, this antibody ensures consistent, reproducible results across multiple experimental platforms. Demonstrates excellent reactivity with Human samples, providing researchers with confidence in cross-species compatibility. Conveniently packaged in 50ug format to meet your experimental needs. For optimal performance, store at -20°C or -80°C and maintains stability for 12 months. Backed by rigorous quality control testing to ensure superior performance in your critical research applications.
Product Name:
SPANXD Antibody
SKU:
PACO37998
Size:
50μg
Isotype:
IgG
Host Species:
Rabbit
Reactivity:
Human
Immunogen:
Recombinant Human Sperm protein associated with the nucleus on the X chromosome D protein (1-97AA)
Immunogen Species:
Homo sapiens (Human)
Uniprot No:
Q9BXN6
Form:
Liquid
Tested Applications:
ELISAIHC
Recommended Dilution:
Application
Recommended Dilution
IHC
1:20-1:200
Synonyms:
Cancer/testis antigen 11.4 antibody, Cancer/testis antigen family 11 member 4 antibody, CT11.4 antibody, dJ171K16.1 antibody, Nuclear associated protein SPAN Xd antibody, Nuclear-associated protein SPAN-Xd antibody, SPAN Xd protein antibody, SPANX C antibody, SPANX D antibody, SPANX family member D antibody, SPANX-D antibody, SPANXD antibody, Sperm protein associated with the nucleus on the X chromosome D antibody, Sperm protein associated with the nucleus X chromosome family member D antibody, SPNXD_HUMAN antibody