SPCS3 Antibody is a premium polyclonal that offers outstanding performance and reliability for demanding research applications. Rigorously validated for ELISA, WB, IHC, this antibody ensures consistent, reproducible results across multiple experimental platforms. Demonstrates excellent reactivity with Human, Mouse samples, providing researchers with confidence in cross-species compatibility. Conveniently packaged in 50ug format to meet your experimental needs. For optimal performance, store at -20°C or -80°C and maintains stability for 12 months. Backed by rigorous quality control testing to ensure superior performance in your critical research applications.
Product Name:
SPCS3 Antibody
SKU:
PACO30100
Size:
100μl
Isotype:
IgG
Host Species:
Rabbit
Reactivity:
Human, Mouse
Immunogen:
Recombinant Human Signal peptidase complex subunit 3 protein (33-180AA)
Immunogen Species:
Homo sapiens (Human)
Uniprot No:
P61009
Form:
Liquid
Tested Applications:
ELISAWBIHC
Recommended Dilution:
Application
Recommended Dilution
WB
1:500-1:2000
IHC
1:20-1:200
Synonyms:
SPCS3, SPC22, UNQ1841/PRO3567, Signal peptidase complex subunit 3, Microsomal signal peptidase 22/23 kDa subunit, SPC22/23, SPase 22/23 kDa subunit
Target Names:
SPCS3
Storage Buffer:
PBS with 0.02% sodium azide and 50% glycerol pH 7.3.
Purification:
Antigen Affinity Purified
Clonality:
Polyclonal
Conjugate:
Non-conjugated
Western Blot Positive WB detected in: 293T whole cell lysate (20µg), Hela whole cell lysate (20µg), K562 whole cell lysate (20µg), A431 whole cell lysate (20µg), JK whole cell lysate (20µg), Mouset small intestinetissue lysate 20µg) All lanes: SPCS3 antibody at 1:1000 Secondary Goat polyclonal to rabbit IgG at 1/50000 dilution Predicted band size: 21 kDa Observed band size: 21 kDa Exposure time: 10s
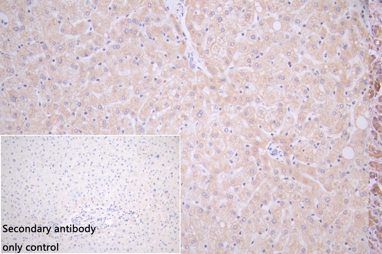
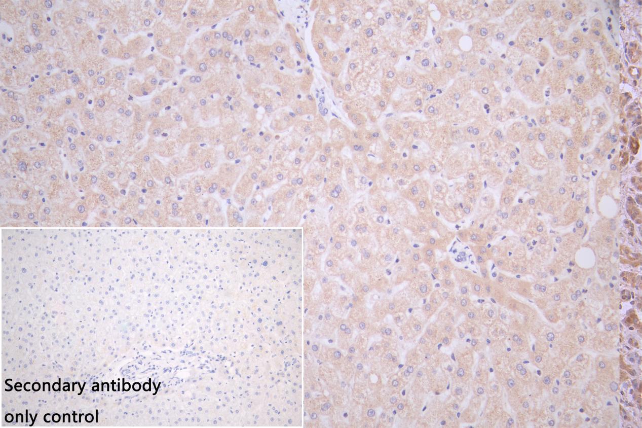
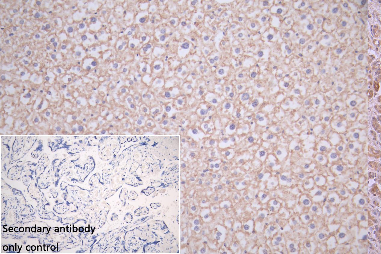
IHC image of PACO30100 diluted at 1:150 and staining in paraffin-embedded human liver tissue performed on a Leica BondTM system. After dewaxing and hydration, antigen retrieval was mediated by high pressure in a citrate buffer (pH 6.0). Section was blocked with 10% normal goat serum 30min at RT. Then primary antibody (1% BSA) was incubated at 4°C overnight. The primary is detected by a Goat anti-rabbit polymer IgG labeled by HRP and visualized using 0.05% DAB.
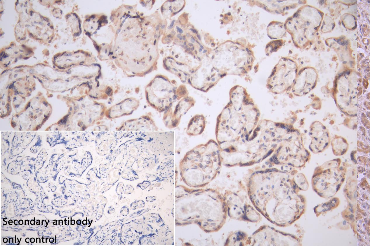
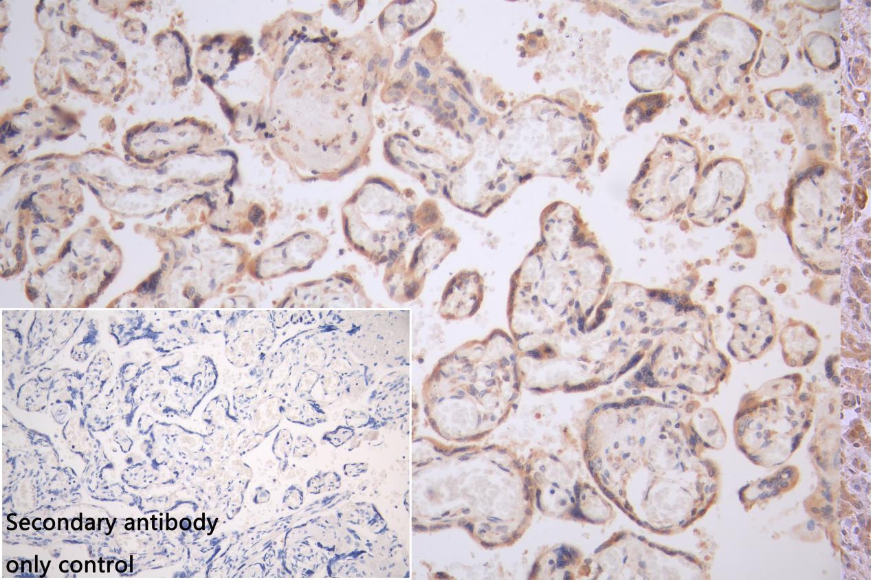
IHC image of PACO30100 diluted at 1:150 and staining in paraffin-embedded human placenta tissue performed on a Leica BondTM system. After dewaxing and hydration, antigen retrieval was mediated by high pressure in a citrate buffer (pH 6.0). Section was blocked with 10% normal goat serum 30min at RT. Then primary antibody (1% BSA) was incubated at 4°C overnight. The primary is detected by a Goat anti-rabbit polymer IgG labeled by HRP and visualized using 0.05% DAB. Secondary antibody only control: uses 1% BSA instead of primary antibody
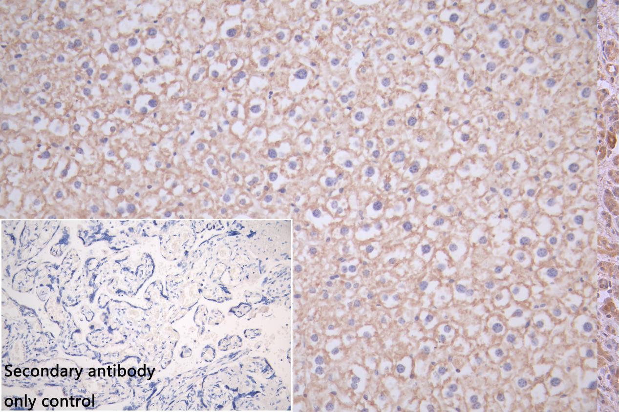
IHC image of PACO30100 diluted at 1:150 and staining in paraffin-embedded mouse liver tissue performed on a Leica BondTM system. After dewaxing and hydration, antigen retrieval was mediated by high pressure in a citrate buffer (pH 6.0). Section was blocked with 10% normal goat serum 30min at RT. Then primary antibody (1% BSA) was incubated at 4°C overnight. The primary is detected by a Goat anti-rabbit polymer IgG labeled by HRP and visualized using 0.05% DAB. Secondary antibody only control: uses 1% BSA instead of primary antibody