SPTLC3 Antibody is a premium polyclonal that offers outstanding performance and reliability for demanding research applications. Rigorously validated for ELISA, WB, IHC, IF, this antibody ensures consistent, reproducible results across multiple experimental platforms. Demonstrates excellent reactivity with Human, Mouse samples, providing researchers with confidence in cross-species compatibility. Conveniently packaged in 50ug format to meet your experimental needs. For optimal performance, store at -20°C or -80°C and maintains stability for 12 months. Backed by rigorous quality control testing to ensure superior performance in your critical research applications.
Product Name:
SPTLC3 Antibody
SKU:
PACO40658
Size:
50μg
Isotype:
IgG
Host Species:
Rabbit
Reactivity:
Human, Mouse
Immunogen:
Recombinant Human Serine palmitoyltransferase 3 protein (1-58AA)
Immunogen Species:
Homo sapiens (Human)
Uniprot No:
Q9NUV7
Form:
Liquid
Tested Applications:
ELISAWBIHCIF
Recommended Dilution:
Application
Recommended Dilution
WB
1:500-1:5000
IHC
1:20-1:200
IF
1:50-1:200
Synonyms:
SPTLC3, C20orf38, SPTLC2L, Serine palmitoyltransferase 3, Long chain base biosynthesis protein 2b, LCB2b, Long chain base biosynthesis protein 3, LCB 3, Serine-palmitoyl-CoA transferase 3, SPT 3
Western blot All lanes: SPTLC3 antibody at 0.2µg/ml Lane 1: Mouse kidney tissue Lane 2: U87 whole cell lysate Secondary Goat polyclonal to rabbit IgG at 1/10000 dilution Predicted band size: 63, 20 kDa Observed band size: 63 kDa
Immunofluorescent analysis of HepG2 cells using PACO40658 at dilution of 1:100 and Alexa Fluor 488-congugated AffiniPure Goat Anti-Rabbit IgG(H+L)
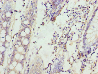
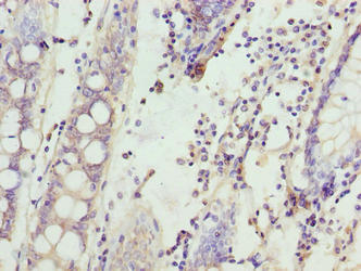
Immunohistochemistry of paraffin-embedded human colon cancer using PACO40658 at dilution of 1:100
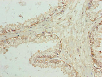
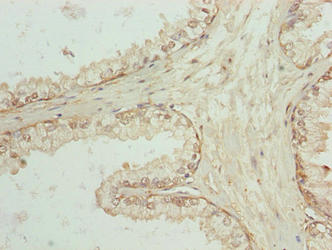
Immunohistochemistry of paraffin-embedded human prostate cancer using PACO40658 at dilution of 1:100