null
100% Quality Guarantee
PhD-Level Technical Support
Key Features

STAT2 Rabbit Polyclonal Antibody (CAB14995)

SKU CAB14995
Product Type Antibody
Antibody Type Polyclonal Antibody
Reactivity Human, Mouse, Rat
Host Species Rabbit
Synonyms P113, IMD44, ISGF-3, PTORCH3, STAT113, STAT2
Research Use Immunology
€96 - €370
Global Shipping: 80+ Countries
White Glove Service: Available upon request
Batch Consistency: Contact Sales
Distributors: 60+ Countries

Description

system_update_altDatasheetsystem_update_altMSDS

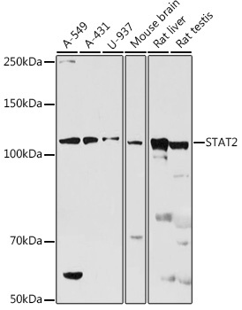
STAT2 Antibody (CAB14995)

The STAT2 Antibody (CAB14995) is a high-quality antibody developed for reliable detection and analysis of target proteins. This antibody, produced in rabbits, exhibits high reactivity with human samples and has been validated for use in Western blotting applications.STAT2 is a transcription factor that forms part of the ISGF3 complex, which is critical for the induction of interferon-stimulated genes in response to viral infection. By specifically binding to STAT2, this antibody enables the detection and analysis of STAT2 expression levels in various cell types, making it an ideal choice for studies in immunology, virology, and infectious disease research.

This antibody is validated for use in WB, IHC-P, ELISA applications and has demonstrated reactivity against Human, Mouse, Rat samples.

0 Reviews

0
Based on 0 reviews

No reviews yet. Be the first to share your experience!

View AllClose