The STIM1 Polyclonal Antibody (CAB21614) is a high-quality antibody developed for reliable detection and analysis of target proteins. This antibody, produced in rabbits, displays high reactivity with human samples and has been validated for use in Western blot applications. By binding to STIM1, this antibody enables precise detection and analysis of the protein in various cell types, making it perfect for studies in immunology, cell biology, and cancer research.STIM1 is a pivotal component of the store-operated calcium entry (SOCE) pathway, which is crucial for orchestrating immune cell function, inflammation, and cell proliferation.
This antibody is validated for use in WB, IHC-P, IP, ELISA applications and has demonstrated reactivity against Human, Mouse, Rat samples.
Product Name:
STIM1 Polyclonal Antibody
SKU:
CAB21614
Size:
20μL, 100μL
Reactivity:
Human, Mouse, Rat
Conjugate:
Unconjugated
Immunogen:
Recombinant protein (or fragment).This information is considered to be commercially sensitive.
0.5μg-4μg antibody for 200μg-400μg extracts of whole cells
ELISA
Recommended starting concentration is 1 μg/mL. Please optimize the concentration based on your specific assay requirements.
Synonyms:
GOK, TAM, TAM1, IMD10, STRMK, D11S4896E, STIM1
Positive Sample:
HeLa
Cellular Localization:
Cell Membrane, Cytoplasm, Endoplasmic Reticulum Membrane, Single-Pass Type I Membrane Protein, Cytoskeleton.
Calculated MW:
77kDa
Observed MW:
Refertofigures
This gene encodes a type 1 transmembrane protein that mediates Ca2+ influx after depletion of intracellular Ca2+ stores by gating of store-operated Ca2+ influx channels (SOCs). It is one of several genes located in the imprinted gene domain of 11p15.5, an important tumor-suppressor gene region. Alterations in this region have been associated with the Beckwith-Wiedemann syndrome, Wilms tumor, rhabdomyosarcoma, adrenocrotical carcinoma, and lung, ovarian, and breast cancer. This gene may play a role in malignancies and disease that involve this region, as well as early hematopoiesis, by mediating attachment to stromal cells. Mutations in this gene are associated with fatal classic Kaposi sarcoma, immunodeficiency due to defects in store-operated calcium entry (SOCE) in fibroblasts, ectodermal dysplasia and tubular aggregate myopathy. This gene is oriented in a head-to-tail configuration with the ribonucleotide reductase 1 gene (RRM1), with the 3' end of this gene situated 1.6 kb from the 5' end of the RRM1 gene. Alternative splicing of this gene results in multiple transcript variants.
Purification Method
Affinity purification
Gene ID
6786
Buffer Information
Store at -20℃. Avoid freeze / thaw cycles. Buffer: PBS with 0.01% thimerosal,50% glycerol,pH7.3.
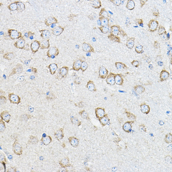
Immunohistochemistry analysis of paraffin-embedded Mouse brain using STIM1 Rabbit pAb (CAB21614) at dilution of 1:100 (40x lens). Microwave antigen retrieval performed with 0.01M PBS Buffer (pH 7.2) prior to IHC staining.
Immunoprecipitation analysis of 200 μg extracts of HeLa cells using 3 μg STIM1 antibody (CAB21614). Western blot was performed from the immunoprecipitate using STIM1 antibody (CAB21614) at a dilution of 1:1000.