The STK3/MST2 Antibody (CAB6992) is a high-quality antibody developed for reliable detection and analysis of target proteins. This antibody, produced in rabbits, exhibits high specificity and sensitivity towards human samples, making it an excellent choice for various research applications, including Western blot analysis.STK3, also known as MST2, plays a crucial role in regulating cell growth and survival, making it a key player in cancer research and drug development.
This antibody is validated for use in WB, IF/ICC, ELISA applications and has demonstrated reactivity against Human, Mouse, Rat samples.
Product Name:
STK3/MST2 Antibody
SKU:
CAB6992
Size:
20μL, 100μL
Reactivity:
Human, Mouse, Rat
Conjugate:
Unconjugated
Immunogen:
Recombinant protein (or fragment).This information is considered to be commercially sensitive.
This gene encodes a serine/threonine protein kinase activated by proapoptotic molecules indicating the encoded protein functions as a growth suppressor. Cleavage of the protein product by caspase removes the inhibitory C-terminal portion. The N-terminal portion is transported to the nucleus where it homodimerizes to form the active kinase which promotes the condensation of chromatin during apoptosis. Multiple transcript variants encoding different isoforms have been found for this gene.
Purification Method
Affinity purification
Gene ID
6788
RRID
AB_2767548
Buffer Information
Store at -20℃. Avoid freeze / thaw cycles. Buffer: PBS containing 50% glycerol, preserved with proclin300 or sodium azide, pH 7.3.
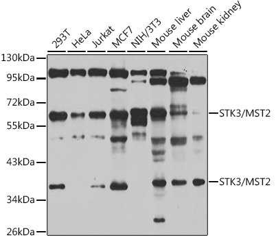
Western blot analysis of various lysates using STK3/MST2 Rabbit pAb (CAB6992) at 1:1000 dilution. Secondary antibody: HRP-conjugated Goat anti-Rabbit IgG (H+L) (CABS014) at 1:10000 dilution. Lysates/proteins: 25μg per lane. Blocking buffer: 3% nonfat dry milk in TBST. Detection: ECL Basic Kit (AbGn00020). Exposure time: 60s.
Immunofluorescence analysis of NIH-3T3 cells using STK3/MST2 Rabbit pAb (CAB6992) at dilution of 1:100 (40x lens). Secondary antibody: Cy3-conjugated Goat anti-Rabbit IgG (H+L) (CABS007) at 1:500 dilution. Blue: DAPI for nuclear staining.