The MST1/STK4 Antibody (CAB8043) is a high-quality antibody developed for reliable detection and analysis of target proteins. This antibody, produced in rabbits, shows high reactivity with human samples and is suitable for use in Western blot applications. By binding specifically to the STK4 protein, this antibody allows for accurate detection and analysis in various cell types, making it an ideal choice for studies in cell biology, signal transduction, and cancer research.STK4 is a key regulator of cell proliferation, differentiation, and apoptosis, making it a promising target for understanding cancer development and progression.
This antibody is validated for use in WB, IHC-P, IF/ICC, IP, ELISA applications and has demonstrated reactivity against Human, Mouse, Rat samples.
Product Name:
MST1/STK4 Antibody
SKU:
CAB8043
Size:
20μL, 100μL
Reactivity:
Human, Mouse, Rat
Conjugate:
Unconjugated
Immunogen:
Recombinant protein (or fragment).This information is considered to be commercially sensitive.
The protein encoded by this gene is a cytoplasmic kinase that is structurally similar to the yeast Ste20p kinase, which acts upstream of the stress-induced mitogen-activated protein kinase cascade. The encoded protein can phosphorylate myelin basic protein and undergoes autophosphorylation. A caspase-cleaved fragment of the encoded protein has been shown to be capable of phosphorylating histone H2B. The particular phosphorylation catalyzed by this protein has been correlated with apoptosis, and it's possible that this protein induces the chromatin condensation observed in this process.
Purification Method
Affinity purification
Gene ID
6789
RRID
AB_2772441
Buffer Information
Store at -20℃. Avoid freeze / thaw cycles. Buffer: PBS containing 50% glycerol, preserved with proclin300 or sodium azide, pH 7.3.
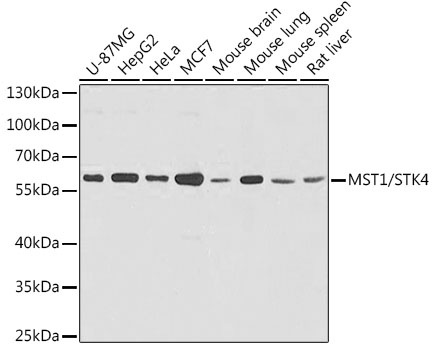
Western blot analysis of various lysates using MST1/STK4 Rabbit pAb (CAB8043) at 1:1000 dilution. Secondary antibody: HRP-conjugated Goat anti-Rabbit IgG (H+L) (CABS014) at 1:10000 dilution. Lysates/proteins: 25μg per lane. Blocking buffer: 3% nonfat dry milk in TBST. Detection: ECL Basic Kit (AbGn00020). Exposure time: 15s.
Immunoprecipitation analysis of 100 μg extracts of HepG2 cells using 3 μg MST1/STK4 antibody (CAB8043). Western blot was performed from the immunoprecipitate using MST1/STK4 antibody (CAB8043) at a dilution of 1:1000.