STPG2 Antibody is a premium polyclonal that offers outstanding performance and reliability for demanding research applications. Rigorously validated for ELISA, WB, IHC, this antibody ensures consistent, reproducible results across multiple experimental platforms. Demonstrates excellent reactivity with Human samples, providing researchers with confidence in cross-species compatibility. Conveniently packaged in 50ug format to meet your experimental needs. For optimal performance, store at -20°C or -80°C and maintains stability for 12 months. Backed by rigorous quality control testing to ensure superior performance in your critical research applications.
Product Name:
STPG2 Antibody
SKU:
PACO39402
Size:
50μg
Isotype:
IgG
Host Species:
Rabbit
Reactivity:
Human
Immunogen:
Recombinant Human Sperm-tail PG-rich repeat-containing protein 2 protein (201-459AA)
Immunogen Species:
Homo sapiens (Human)
Uniprot No:
Q8N412
Form:
Liquid
Tested Applications:
ELISAWBIHC
Recommended Dilution:
Application
Recommended Dilution
WB
1:1000-1:5000
IHC
1:20-1:200
Synonyms:
STPG2 antibody, C4orf37 antibody, Sperm-tail PG-rich repeat-containing protein 2 antibody
Western blot All lanes: STPG2 antibody at 0.8µg/ml + HL60 whole cell lysate Secondary Goat polyclonal to rabbit at 1/10000 dilution Predicted band size: 51 kDa Observed band size: 51 kDa
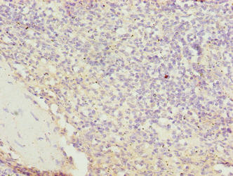
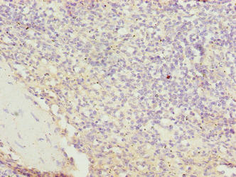
Immunohistochemistry of paraffin-embedded human spleen tissue using PACO39402 at dilution of 1:100